“伤筋动骨一百天”应该是从小就听过的一句话,大概意思就是伤了骨头或者“筋”要修养三个月左右才能恢复。骨,就是骨头、骨骼,动骨就是动了骨头,骨折啊,手术的创伤啊,骨挫伤,骨缺损都是动了骨头。伤筋不是很好解释,因为俗语里的筋,没有解剖学上相应的组织,大概就是肌肉、肌腱、韧带之类的软组织。所以伤筋的范围就广多了,肌肉的拉伤、肌腱的撕裂、韧带的断裂等等很多类软组织损伤就都是伤筋了。
这“一百天”应该是前人无限的智慧和无数经验的总结。因为从现代的病理生理学上看,骨骼和软组织的修复大概就需要两三个月左右的时间。
骨折的修复大致上要历经四个阶段。首先是纤维骨痂期,出血和血肿转化的肉芽组织把骨骼断裂的地方填充和连接起来。之后是原始骨痂期,大概需要6-8周的时间,肉芽组织就进一步转化成了纤维性的骨痂,强度大了很多结实了很多,但是仍然是软的,这个时期要是固定的不牢固或者骨骼受到的应力太大就可能引起变形,或者骨骼愈合成角。再之后是成熟骨痂期,钙盐越来越多地沉着到纤维里,骨小梁逐渐形成。所谓骨小梁就象船的龙骨,混凝土里的钢筋,房子的房梁等等,骨小梁越多分布得越合理,骨头也就越结实。大概8-12周,骨折的地方就被成熟骨痂连接起来了,也就是骨头长在一起了。8-12周不就是一百天嘛,所以“动骨”一百天是很科学的。当然,之后骨骼还要按照它所承受的应力改建得更合理,这个过程就比较长了,小孩需一年,成人甚至需要2-4年。
骨头是本身可以愈合可以生长,所以骨折的地方如果愈合得好,是会和原来一样的。但是肌肉肌腱韧带就不同了,他们本身是不会愈合的,是需要增生出来的瘢痕把断裂或者撕裂的地方连接起来的,叫做瘢痕愈合。在3-4周里,肌腱断裂的地方会有大量的纤维细胞增殖出来,把断裂的地方连接起来,5-6周就能够通过瘢痕达到基本愈合。6-8周的时候,这些瘢痕组织发生改变,胶原纤维开始沿着受力的方向平行排列,这样就会变得更结实了。所以,“伤筋”大概也在一百天里愈合了。
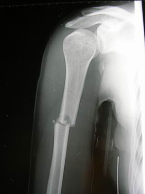
用几张系列的图片(X光片)来展示,可以更形象的看出来。

肱骨干骨折

开始有些愈合的骨痂了

已经有骨性的愈合,但是骨髓腔还没有开通,骨皮质也还没有长好

愈合了,但是强度还不够,骨的塑型和改建还没有完成呢
上面说的是“伤筋动骨一百天”的合理性。但这句俗语还是有不全面的地方。而且那些数据只是生理病理学上的观察,实际上我们不可能受伤了之后不去处理,等它自然愈合,而是会有手术啊外固定之类的方法帮助我们更快的恢复功能。注意,我这里说的是更快的恢复功能,因为骨头和肌腱等软组织自身的愈合时间是不会被加快多少的。之所以现在手术后可以很早就开始恢复活动,并不是现在有什么方法可以让骨头或者软组织很快愈合,而是材料学和工程学以及手术的技术都提高了,找到了方法可以非常牢固的固定断裂的地方,在适量活动的时候不会影响到组织本身的愈合。所以有很多手术一两周就可以下地走路,但是复查的时候医生还是会需要你拍几次X光片,因为骨头本身愈合还是一样需要8-12周的时间,医生要确定骨头本身愈合得足够结实了,才会允许你进行强度比较大的活动。
这样说来,是不是我们还是应该在伤筋动骨之后好好的休养一百天呢?对于骨骼和软组织本身来说,这一百天适当的制动是必要的。但是人体可不只是受伤的这一部分骨头和韧带,人体是个功能复杂的整体。一味卧床休息的静“养”,不是“养病”,而是真的会养出病来的。
所谓“生命在于运动”,人的骨骼、关节、肌肉、韧带、肌腱等等运动系统,要保持正常的功能就必须保持适度的运动刺激。过度的休养会加重伤病肢体的肌肉萎缩,造成受伤或手术关节甚至临近关节的粘连,卧床部位的压疮,下肢或者肢体远端的深静脉血栓、静脉炎,还有本体感觉(也就是人对肢体的位置和运动的感觉能力)下降、协调性下降、使得肢体整体的功能都会下降。说句通俗的话,该长的长结实了,不该长的也都长结实了。
曾经见过一位因为车祸颈椎受伤手术的患者,在脖子好了之后又治了三四个月的双肩。就是因为颈椎手术之后,自己害怕,什么都不敢动,甚至连床都不起,家人更是照顾得无微不至,连吃饭洗脸之类的都是别人帮忙,休养得连胳膊都不用抬。结果等到二三个月颈椎手术的部位骨头都长好了的时候,两个肩关节也因为长时间没有全范围活动过,都患上了肩周炎,不能抬高,勉强往高抬就疼得受不了。于是又耗费了三四个月的时间,忍受了很多痛苦才算把原本没问题的地方又治好。实在是养病养出来的病。
所以在受伤或者手术之后,只要是损伤的局部条件允许,就应该尽早地在专业指导之下进行科学的功能锻炼。而且除了伤病的肢体必须练习以外,身体其他地方更是应该进行力所能及的活动,好能避免其它不必要的并发症出现。同时也可以保持良好的整体身体素质,更有利于促进局部损伤的恢复。当然,凡是能够自己独立完成的日常生活的活动,千万不要依赖别人帮助。护理我们身边的病人的时候,也不要真的做到无微不至,不然可能真的好心办坏事帮了倒忙。真正好的护理是帮助病人做他完全不能做的,协助他做他自己勉强能做的,保护他做他自己可以做但是可能有危险的,放手让他自己做他力所能及的。这才是让我们关心的人最好最快恢复的解决之道。