专业介绍

当前位置: 首页 > 专业介绍 > 牙周专业

牙周专业——诊治范围

发布时间:2023-09-09    点击数:


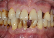
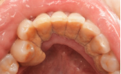
     “牙周”,顾名思义,指的是牙齿周围的组织。牙周专业号的主要诊治范围为牙龈病和牙周炎等牙周支持组织疾病,也就是发生在牙齿周围组织的疾病。如果您口内存在牙石堆积,牙龈红肿出血,牙龈肿痛溢脓,口腔异味,牙齿松动、移位、脱落等症状时, 则需挂牙周专业号进行诊治。除此之外,牙周治疗也是口腔正畸、种植、修复等治疗之前所必须的基础性口腔治疗。同时需注意,牙周疾病与高血压、糖尿病等全身疾病密切相关,患者应在全身情况控制稳定后进行牙周治疗。

 

              

       牙石堆积                                         牙龈红肿出血

 

              

      牙龈肿痛溢脓                            牙齿松动、移位、脱落

 

分享

推荐新闻

地址:北京海淀区花园北路49号    邮编:100191

联系电话:010-82266699     E-mail:bysy@bjmu.edu.cn

Copyright © 2022 北京大学第三医院    京ICP备05082115号-2