专业介绍

成人III类错合的矫治

发布时间:2008-07-30    点击数:

错合畸形是指牙、颌、面的发育异常,表现为 “牙齿里出外进”、“地包天”、“龅牙”等,严重影响口腔健康及颜面美观,有关资料表明,90%以上的人存在不同程度的牙合畸形,而49%左右需要接受正畸治疗。严重的错畸形是一种社会性残疾,不仅容易诱发龋齿、牙周病,影响咀嚼、发音等口腔功能,而且影响一个人的社会形象甚至自身发展。目前,拥有一口整齐漂亮的牙齿已成为一种健康与自信的标志。

口腔正畸治疗采用多种矫治技术为患有错合畸形的儿童和成人提供治疗,达到排齐牙齿、重建咬合、改善口腔功能和颜面美观的作用。

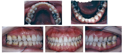
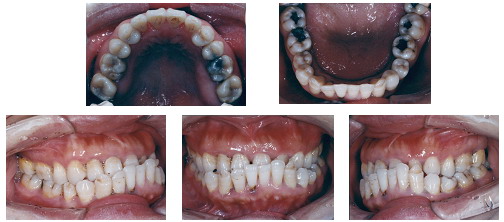
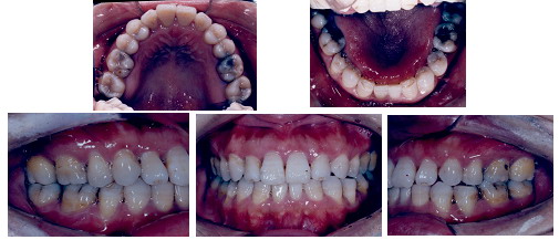
以下是一名38岁女性反合患者的病例,治疗前存在前牙反合、牙弓形态异常、牙弓左右不对称同时伴有颜面骨骼发育异常,面部比例失调,唇突度不协调以及全口不同程度的牙周炎症牙槽骨丧失、上颌尖牙早失,治疗难度很大。经过牙周和正畸的共同努力,在控制牙周炎症之后拔除两颗下切牙,采用目前国际上最流行的MBT矫治技术,经过15个月的治疗,达到了理想的治疗效果。

治疗前

治疗完成

治疗完成一年复查

分享

推荐新闻

地址:北京海淀区花园北路49号    邮编:100191

联系电话:010-82266699     E-mail:bysy@bjmu.edu.cn

Copyright © 2022 北京大学第三医院    京ICP备05082115号-2