门诊上经常会碰到家长带着孩子非常焦虑地来询问,为何孩子的牙都掉了好久了,还是没有新牙长出来,孩子是不是缺钙啊?
1.牙齿如何替换
要了解这个问题,首先要知道我们每个人一生中有两套牙齿,乳牙和恒牙。家长们口中说的脱落牙是指乳牙,而新长的牙被称为恒牙。其次我们要了解正常的换牙过程是怎样的。恒牙的牙胚一般都在乳牙的根方,牙齿替换时,恒牙逐渐从骨内向口腔的方向萌出,同时伴有乳牙牙根的吸收。理想情况下,乳牙牙根在完全吸收后会脱落,紧跟着恒牙突破了牙龈的包裹,便萌出到了口腔里。但如果恒牙萌出没有跟上乳牙的脱落,就会出现恒牙迟迟不出的情况。
最常见的,上前牙替换后不长新牙
2.哪些情况下会不长新牙呢
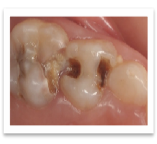
有时候,恒牙并非真正地出来晚,而是乳牙掉早了,恒牙又尚未到该萌出的时间,出现了恒牙迟迟不长的假象。造成乳牙提前脱落的原因有很多种,比较常见的有外伤或因为蛀牙导致乳牙牙根发炎。
儿童蛀牙可引起牙根发炎,影响后续牙齿替换
一般这种情况下,只要恒牙牙胚发育没有受到影响,恒牙可以在正常的萌出时间萌出;但如果造成了恒牙牙胚发育障碍,类似牙胚位置异常、牙轴发育方向异常,则还是可能导致萌出障碍的。
乳牙早失导致恒牙萌出间隙不足
另一种比较常见的原因是孩子的恒牙比乳牙大很多,恒牙为了萌出需要给自己创造更多的空间,除了顶掉自己对应的乳牙,还会把邻近的乳牙一起提前挤掉,这种情况在上门牙区比较多见。
牙齿拥挤,导致乳牙早失,恒牙萌出受限
还有一些时候,恒牙确实在萌出过程中受到这样那样的阻挡而真正地不容易出来。例如,上面提到的乳牙脱落早,儿童习惯用牙龈咀嚼食物,导致牙龈角化坚韧,恒牙就会需要花费更多的时间来突破牙龈。这种情况在上前牙比较多见,我们可以用切除这部分坚韧牙龈的方法来帮助恒牙萌出。

箭头所示上前牙牙龈较韧致牙齿萌出障碍
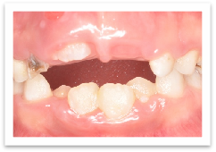
在后牙区比较常见的情况是乳牙早失后邻近的牙齿向前移位,占据了相应恒牙萌出的空间,导致牙齿萌出间隙不足而被卡在了骨头了出不来。为了避免这种情况,在乳牙早失后要及时做间隙保持器,维持住这宝贵的空间。
临床上制作的间隙保持器照片
另外,在正常的牙和牙中间有时候会有多生的额外牙或牙瘤,它们会成为恒牙正常萌出的拦路虎。所以,需要借助外科手段把它们去除掉。

图中箭头所示多生牙,影响恒牙萌出
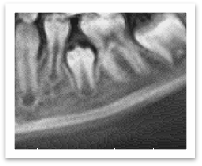
当然,还有一种非常极端的情况就是脱落乳牙对应的恒牙是先天缺失的,根本就没有恒牙的“小种子”,萌出就无从谈起了。

箭头所示恒牙先天缺失
一般情况下,孩子总体生长发育正常,不缺钙,没有必要单单为了长牙而补钙。但如果孩子有严重的缺钙指征,应在儿科医生的指导下,进行补钙治疗。
希望您看了这些,能够缓解一些孩子换牙时候的焦虑。当然,有问题及时寻求专业口腔医生的帮助是最好的方法。在牙齿替换时期,如果乳牙脱落后半年恒牙没有萌出,或者对侧同样牙位的恒牙已经替换半年了,而这一侧的乳牙还没有替换或不松动,建议要带孩子到医院检查,明确原因,尽早处理。
(文中图片源于作者,请勿随意转载)
作者:王兆有、杜晴
本文荣获海淀区2022年医疗机构科普征文二等奖