
舌的作用
1、舌主要有辅助发音,参与咀嚼以及辨别味道和感觉等功能;
2、舌的感觉非常灵敏,它可以感受异物或其他引起不适的物质,并将其准确挑出协助口腔吐出来。
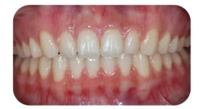
牙齿的作用
1、咀嚼食物的作用,能辅助消化;
2、牙齿的整齐排列,有美观的作用;
3、牙齿还有利于颌骨的健康,如果牙齿脱落后,颌骨的吸收就会加快。
舌齿关系——亦友亦敌
在人的一生中,舌与牙齿可以是相互依存的好友,和谐的为小主人贡献力量。
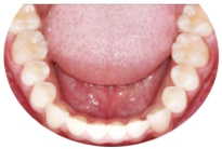
舌和牙齿也可能会出现或⼤或⼩的摩擦,由于他们的作⽤很重要,如果出现了问题,要积极的治疗,其中舌溃疡就是一个问题。需要主⼈去鉴别处理,他们之间⼜孰是孰⾮呢?
创伤性溃疡
因牙齿、异物等导致口腔黏膜创伤引发的溃疡,溃疡的形状与刺激因子完全契合。
(1) 在口腔中容易忽视的“外伤”,突然的咬伤;
(2) 口腔内残根、残冠,牙齿的锐利边缘、错位牙、不良修复体等长期慢性机械损伤形成的溃疡;
(3)由长期咬舌等自伤性不良习惯造成的溃疡。
癌性溃疡
癌性口腔溃疡指的是溃疡型口腔癌,主要表现为口腔黏膜出现边界不清的溃疡,局部粘膜变硬,溃疡边缘隆起,中央凹凸不平,甚⾄出现糜烂出⾎,伴有明显疼痛。可为局部刺激、外伤、不良习惯等引起,也可能与烟酒刺激、经常咀嚼槟榔、口腔黏膜⽩斑与红斑、紫外线和电离辐射以及慢性刺激与损伤等因素有关。
舌创伤性溃疡会癌变吗?
舌溃疡在同⼀个部位经久不愈、并且迁延,溃疡的形状,凹凸不平、边界不清,这个时候,需要提⾼警惕,持续存在的⼝腔溃疡有可能⼝腔癌的先兆或者是癌性溃疡,应该到医院就诊,有助于防⽌⼝腔溃疡癌变,⼀旦发⽣癌变也需要早诊断、早治疗。
作者:张智慧 副主任医师
贾妍 护士
刘晓丹 主治医师