口腔科普

当前位置: 首页 > 口腔科普 > 术前须知

【牙周】牙周疾病的治疗程序和预后

发布时间:2008-07-27    点击数:

  • 龈上洁治:即人们常说的“洗牙”,是通过超声或手用洁治器械去除牙龈表面的牙石、菌斑、色素,并抛光牙面的一种治疗方式。操作正规的龈上洁治是不会对牙齿造成损害的。

  • 龈下刮治:用龈下刮治器械清除牙龈下方根面上的龈下牙石和菌斑,以彻底控制牙周组织炎症的一种治疗方式。

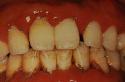
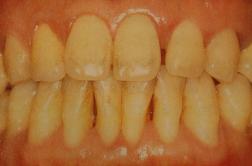
牙龈炎治疗前 牙龈炎治疗后

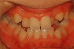
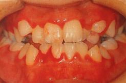
牙周炎治疗前 牙周炎治疗后

分享

推荐新闻

地址:北京海淀区花园北路49号    邮编:100191

联系电话:010-82266699     E-mail:bysy@bjmu.edu.cn

Copyright © 2022 北京大学第三医院    京ICP备05082115号-2