口腔科普

当前位置: 首页 > 口腔科普 > 术前须知

【正畸】什么时候开始做正畸治疗?

发布时间:2008-07-27    点击数:

常规正畸的最佳时机是牙齿替换完毕的时候,大概12岁前后。此时颅面的发育已完成85%-90%,错牙合形态基本稳定,诊断比较明确,同时患者还有一定的生长潜力,组织再生修复能力较强,对矫治力的反映良好,矫治效果较好,疗程相对较短。

对于更小一些的孩子,最好能从3岁开始,定期到医院检查,发现问题及时处理,确保牙颌面的正常发育,对于存在明显颌骨发育畸形、严重咬合异常或严重牙齿错位患者,有必要早期进行干预,以便缩短日后常规正畸的疗程,获得更好的治疗效果。

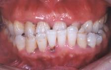
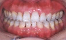
很多成人担心自己年龄大不适合正畸,事实上正畸治疗并无严格的年龄限制,近年来随着人们对牙齿健康意识的提高,接受正畸治疗的成人越来越多。

成人正畸前 正畸后

分享

推荐新闻

地址:北京海淀区花园北路49号    邮编:100191

联系电话:010-82266699     E-mail:bysy@bjmu.edu.cn

Copyright © 2022 北京大学第三医院    京ICP备05082115号-2