脊膜瘤的流行病学特点

脊膜瘤是第二常见的脊髓肿瘤,占脊髓肿瘤的9~22%,本组813例脊髓肿瘤中见94例,占11.6%,年龄分布见图573,介于5~73岁,高峰年龄为30~60岁,平均39.9岁。女性明显多于男性,两者之比为4∶1。病变可发生在任何节段,而以胸段最为常见。大多数脊膜瘤位于髓外硬脊膜下,15%位于硬脊膜外。脊膜瘤很少有多发性,肿瘤常位于脊髓的背外侧,占52%;其次是腹外侧,占24.6%;背侧和腹侧各占8.9%;10.6%跨越数处。脊膜瘤是第二常见的脊髓肿瘤,占脊髓肿瘤的9~22%,本组813例脊髓肿瘤中见94例,占11.6%,年龄分布见图573,介于5~73岁,高峰年龄为30~60岁,平均39.9岁。女性明显多于男性,两者之比为4∶1。病变可发生在任何节段,而以胸段最为常见。大多数脊膜瘤位于髓外硬脊膜下,15%位于硬脊膜外。脊膜瘤很少有多发性,肿瘤常位于脊髓的背外侧,占52%;其次是腹外侧,占24.6%;背侧和腹侧各占8.9%;10.6%跨越数处。
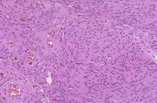
脊膜瘤由脊膜上长出,有完整的包膜,呈粉红色,大多数长2~3cm间,少数肿瘤可长达6~7cm,横径2~3cm,成为巨型脊膜瘤,后者一般位于马尾部位。瘤蒂几乎都与硬脊膜和蛛网膜粘着。少数起源于脊髓纵裂内的软脊膜,成为软脊膜下肿瘤。瘤与神经根的关系多不密切,但个别较小的肿瘤也可与1~2神经根粘着,不易分离。显微镜下,肿瘤可有多种类型,内皮型最多,占56%;纤维型其次,占28%;砂粒型较少,占15%;其他型8%;恶性6%。
|