科室特色

当前位置: 首页 > 科室特色 > 正文

神经内镜微创治疗高血压脑出血

发布时间:2020-06-26    点击数:

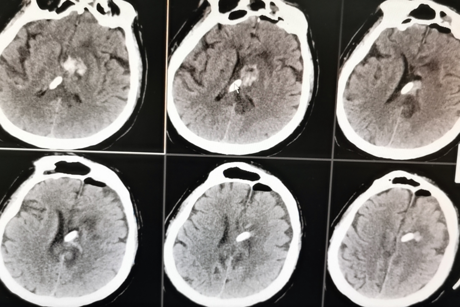
术前影像

神经内镜微创治疗高血压脑出血

内镜下清除脑内及脑室血肿

神经内镜微创治疗高血压脑出血

术后显示血肿清除满意

神经内镜微创治疗高血压脑出血

术后CT提示小骨窗

神经内镜微创治疗高血压脑出血

分享

地址:北京海淀区花园北路49号  邮编:100191
联系电话:010-82266699  E-mail:bysy@bjmu.edu.cn

Copyright © 2022 北京大学第三医院    京ICP备05082115号-2