科室特色

当前位置: 首页 > 科室特色 > 正文

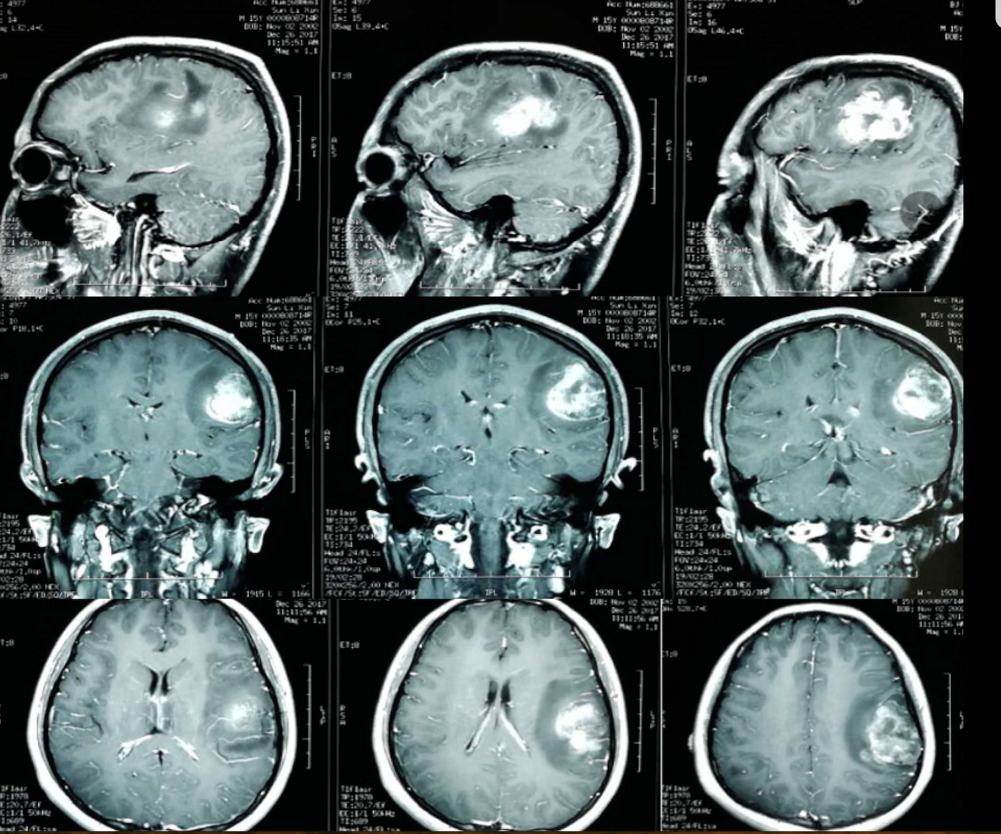
多模态影像融合助力精准切除功能区胶质瘤

发布时间:2020-06-26    点击数:

多模态影像融合及术中导航技术精准切除功能区胶质瘤

多模态影像融合及术中导航技术精准切除功能区胶质瘤

多模态影像融合及术中导航技术精准切除功能区胶质瘤

多模态影像融合及术中导航技术精准切除功能区胶质瘤

分享

地址:北京海淀区花园北路49号  邮编:100191
联系电话:010-82266699  E-mail:bysy@bjmu.edu.cn

Copyright © 2022 北京大学第三医院    京ICP备05082115号-2