典型病例

当前位置: 首页 > 典型病例 > 正文

后颅窝狭小伴脊髓空洞

发布时间:2008-07-27    点击数:

后颅窝狭小伴脊髓空洞

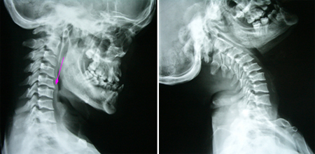
男性,35岁,自幼颅颈、双肩发育异常,双手、上肢肌萎缩3年,加重1月,伴走路不稳。查体:短颈、发髻低、双肩狭小畸形、脊柱侧弯,双上肢及躯干片状感觉障碍,双上肢肌力3-4级,远端更差伴双手爪形,双侧手指伸直困难,双侧病理征阳性。术前影像学资料显示:颅底凹陷、寰枕融合、颈椎生理曲度消失伴退行性改变,小脑扁桃体下疝入椎管伴脊髓空洞(达T8水平)。

术式:枕颈减压、枕大池成型、局限性椎板咬除减压、空洞穿刺引流术。术后可平稳行走,感觉障碍改善,术后半年肢体肌力改善。

专家评点:寰枕畸形尤其以颅底凹陷、寰枕融合为主常导致后颅窝的先天性狭小,随着脑组织的发育、成熟,和狭小后颅窝之间的矛盾逐渐显现并激化,挤压小脑扁桃体向下移位,从而卡压在颅颈交界、压迫延颈髓,导致脑脊液循环障碍,可出现梗阻性脑积水或脊髓空洞症。有学者提出针对无症状寰枕畸形采取手术治疗的观点,虽然这一观点有待进一步商酌,但从另一角度说明对寰枕畸形争取早日手术治疗的必要性。

分享

地址:北京海淀区花园北路49号  邮编:100191
联系电话:010-82266699  E-mail:bysy@bjmu.edu.cn

Copyright © 2022 北京大学第三医院    京ICP备05082115号-2