典型病例

当前位置: 首页 > 典型病例 > 正文

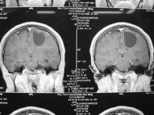
肺癌脑转移Omaya囊置入术

发布时间:2011-12-30    点击数:

肺癌脑转移Omaya囊置入术肺癌脑转移Omaya囊置入术

肺癌脑转移Omaya囊置入术

肺癌脑转移Omaya囊置入术

分享

地址:北京海淀区花园北路49号  邮编:100191
联系电话:010-82266699  E-mail:bysy@bjmu.edu.cn

Copyright © 2022 北京大学第三医院    京ICP备05082115号-2