典型病例

当前位置: 首页 > 典型病例 > 正文

巨大颅底脑膜瘤

发布时间:2012-01-04    点击数:

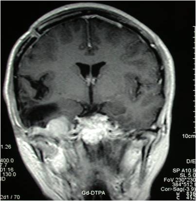
巨大中颅底脑膜瘤切除术

术前冠状位见右侧中颅底巨大占位

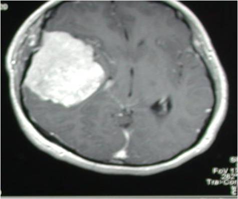
巨大中颅底脑膜瘤切除术

术前MRI提示肿瘤巨大,周围骨质破坏

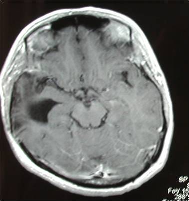
巨大中颅底脑膜瘤切除术

术后MRI

巨大中颅底脑膜瘤切除术

术后mRI见肿瘤切除满意

分享

地址:北京海淀区花园北路49号  邮编:100191
联系电话:010-82266699  E-mail:bysy@bjmu.edu.cn

Copyright © 2022 北京大学第三医院    京ICP备05082115号-2