TGuide S32 Pro 全自动核酸提取纯化仪
TGuide S32 Pro 全自动核酸提取纯化仪采用最新磁棒吸附转移核酸纯化方式,利用96孔深孔反应板,搭配不同种类的磁珠法核酸提取试剂,同时操作1-32个样本,从血液、细胞、组织、病毒等多种样本中自动分离提取纯化核酸。仪器通过特制的磁棒吸附、转移和释放磁珠,从而实现磁珠和核酸的转移,提高自动化程度。结果稳定、省时省力。
仪器通过单片机控制步进电机,实现精密传动,从而自动完成核酸纯化工艺中的磁性分离工艺。体积小、重量轻、美观大方,大屏幕液晶面板,嵌入式实时操作系统,强大的程序编辑功能,简单易操控;工作区全封闭,具有开门保护,超限位保护和报警,使用安全可靠。


技术参数
• 样本通量:1-32
• 液体处理体积:20-1000µl
• 磁珠回收效率:≥98%
• 裂解/洗脱温度控制范围:室温+5~120℃
• 加热模块:裂解/洗脱加热槽位是1/5列,间隔设计
• 振动混合模式:多档可调振动速度;溶液体积自适应振动幅度,振动幅度根据溶液体积自动调整
• 磁珠吸附模式:普通/强力/循环吸附模式可选
• 污染控制:内置紫外灭菌模块,封闭反应仓,配套使用预封装试剂和一次性耗材,最大程度减少实验人员与化学试剂的接触,保证操作安全
• 仪器操控:8寸触摸屏,一体式操控,中英文双系统自由切换
• 程序管理:内置多组优化实验程序,智能程序设置向导,可自由灵活新建、编辑、删除实验程序
• 仪器支持设置分级权限账户,仪器操作、运行记录可追溯
• 通过德国TUV ISO9001和ISO13485质量管理体系认证
• 通过第一类医疗器械备案
• 原厂配套试剂可提供单人份预封装试剂,满足各种样本数量上机提取需求
• 尺寸:442×465×385mm(宽×深×高)
• 重量:32.5 kg
• 电源:AC 100-240 V,50-60Hz
产品优势
• 简洁直观操作系统
8英寸触摸屏,中英文双系统自由切换。• 多参数自由配置,实验拓展性强。• 升级审计追踪功能,运行记录安全可追溯。
• 污染控制、安全防护
交叉污染控制和紫外消毒系统,有效避免孔间交叉污染。• 全封闭运行,运行过程中开门自动暂停,全力保障使用者安全。
• 多样化试剂方案
基于天根核酸提取纯化平台,针对各种样本,提供全面、完整、优质的自动化解决方案。• 单人份提取试剂,满足任意通量样本的提取需求,避免试剂耗材浪费,节约成本。
• 独特磁棒运动方式
驱动装置采用步进电机,磁棒振动幅度大,振动幅度根据溶液体积自动调整,混匀充分效果好;传动装置采用滚珠丝杠,磁棒运行平稳、精度高、使用寿命长;各运动部件均配置极限位置保护功能,仪器运行平稳有序避免故障。
• 循环吸附模式
通过全新设计的循环吸附模式,磁珠吸附于磁棒头部部分,从而保证洗脱体积很小的情况下,洗脱液依旧能够覆盖全部磁珠,磁珠吸附效果好,核酸得率高。
• 优化裂解/洗脱加热槽位设计
1/5列裂解/洗脱加热槽位设计,裂解与洗脱加热间隔槽位,有效避免裂解加热造成洗脱液蒸发的情况,核酸回收体积更为准确。
应用范围
适用样本类型:血液、血浆、细胞、组织、细菌、病毒、拭子、羊水、尿液、粪便、组织灌洗液、石蜡切片、干血斑等多种样本的DNA/RNA提取。
应用案例
不同样本DNA提取结果展示
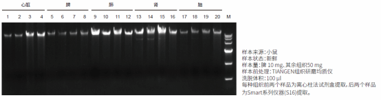
动物组织DNA提取结果展示
肿瘤细胞RNA提取结果展示
血液DNA提取结果展示
样本编号 | 上样量 | 洗脱液 | 浓度 | 260/280 | 260/230 |
1038 | 1ml | 200 | 152.3 | 1.81 | 2.01 |
1039 | 1ml | 200 | 280.2 | 1.82 | 2.19 |
1040 | 1ml | 200 | 118.2 | 1.8 | 2.17 |
1041 | 2ml | 200 | 168.9 | 1.82 | 2.24 |
1042 | 1ml | 300 | 111.4 | 1.79 | 1.92 |
1043 | 1ml | 300 | 111 | 1,81 | 2.17 |
1044 | 1ml | 300 | 11 | 1.78 | 1.46 |
1045 | 2ml | 300 | 65.3 | 1.81 | 2,09 |