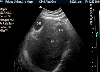
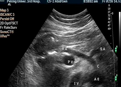
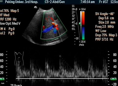
肝脏B超:右肝内及肝尾叶可见巨大强回声结节,9.3×8.8cm,边界欠清,后方回声增强。CDI:肿物周边可见肝动静脉绕行及肿物内门静脉穿行,无明显压迫现象。脾厚5.0cm肋下3.2cm脾门处脾静脉宽0.8cm



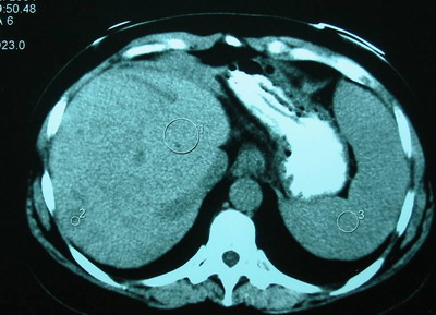
肝脏CT:考虑肝血管瘤,肝右叶血管弧形移位。

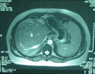
肝MRI:肝右叶异常信号――符合血管瘤肝形态,血管改变——考虑发育异常。

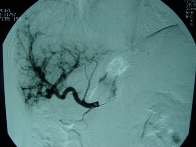
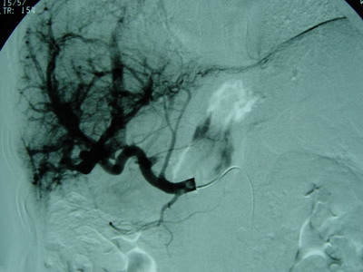
肝动脉、肠系膜上动脉、脾动脉造影见肝总动脉明显增粗,动脉期肝动脉及其分支显影良好,动脉早期可见门静脉显影,呈明显肝动脉—门静脉双轨征。肝实质期未见肿瘤染色。肠系膜上动脉间接门静脉显影,门静脉主干显影。门静脉血流方向为双向。可见胃底曲张血管逆行显影。



.com>