女,24岁。5年前进食油腻食物后出现上腹部持续性绞痛,放射至左侧腰背部,取屈膝位时略缓解,伴恶心,未吐,发热,体温38.8°C,来我院就诊,诊为急性坏死型胰腺炎。经治疗症状缓解。5年来上述症状间断发作,症状较轻,持续时间短,未诊治。2天前进油腻饮食后再次出现上腹痛症状,性质同前。
既往体健
查体:剑突下轻压痛,余无特殊。
辅助检查:
B超:胰尾区可见数个不规则无回声区。最大约1.×1.0cm,边界清。—胰尾区多发囊性病变——假性囊肿可能。

MRCP

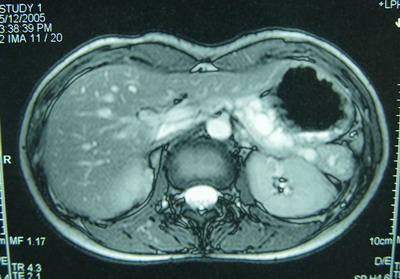
胰腺MRI

胰腺MRI

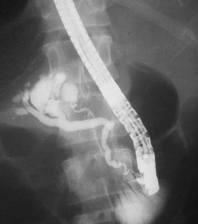
ERCP
ERCP报告:胰管全程扩张,横径约0.4~0.5cm,管壁欠光整,胰体见一直径约3.5cm囊性多房性占位,与胰体段胰管相通——胰体囊性多房性占位(可疑粘液产生)
十二指肠乳头增大,扩张,见黏液流出。

胰腺引流液涂片:可见良性腺上皮细胞,支持良性囊肿性病变。
最终诊断:胰管内乳头状粘液瘤