疑难病例

当前位置: 首页 > 疑难病例 > 正文

入院后检查—CT

发布时间:2009-12-29    点击数:

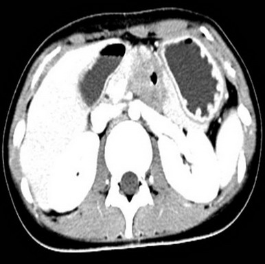
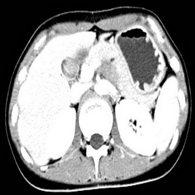
2009.6.23 腹部CT

腹膜后占位,性质待定,十二指肠局部穿透伴炎性包裹,十二指肠水平段梗阻,近端积液扩张,肝小囊肿(胰体后下方见不规则软组织密度影,大小约48mm*33mm,其内见气体密度影,增强扫描静脉期肿块明显不均匀强化,CT值约30HUPS 86HUCE,病变与十二指肠水平段、升段及胰腺分界不清,十二指肠水平段明显变窄,胃及近端十二指肠明显积液扩张。)

分享

地址:北京海淀区花园北路49号    邮编:100191

联系电话:010-82266699     E-mail:bysy@bjmu.edu.cn

Copyright © 2022 北京大学第三医院    京ICP备05082115号-2