疑难病例

当前位置: 首页 > 疑难病例 > 正文

慢性胰腺炎门静脉狭窄导致消化道大出血

发布时间:2010-01-07    点击数:

患者老年女性,主因“间断便血5年余,加重20天”于收入院。

患者5年余前无明显诱因出现便血,为暗红色血便,伴下腹部隐痛,量不详,大便成形,无呕血,伴反酸、烧心,当地医院查HGB约为4g/dL,予输血、抑酸等治疗。好转后出院。2年前出现间断下腹绞痛,排气、排便后缓解,多于夜间出现,3-5天发作1次,当时大便正常。25个月前腹痛发作频繁,每日白天、夜间均可出现,能够忍受,为隐痛或绞痛,大便成形正常。22个月前腹痛同前,出现便血,为暗红色,与大便相混,成形,1次/日,排便后腹痛缓解。肠镜未见异常。此后多次因便血、HGB下降住院治疗。20个月前行胃镜示“慢性浅表性胃炎,Hp阴性”,19个月前MRCP示“胰头体积增大”,17个月前外地胶囊内镜示“小肠血管畸形”,12个月前外地ECT消化道出血显像示“胆囊窝胆肠吻合口处异常放射性浓聚,考虑有活动性出血”。予患者多次输血、抑酸、生长抑素治疗,出血可停止,间隔数天至数月不等。2个月前再次开始间断便血,1-3次/日,具体量不详,于外院给予生长抑素后出血可停止,于20天前,便血伴呕血1次,便血性质同前,呕血量约1000ml,为鲜红色,予以生长抑素后未再呕血,但仍持续便血,性质同前。1-3次/日,量不详,患者外院查血色素最低降至约30g/L。为进一步诊治收入院。

既往史:18年前出现皮肤瘙痒、黄疸,诊为“胰头占位,慢性胰腺炎”。7年前再次出现黄疸,经保守治疗无效,于6年前(2003年3月)行胆囊切除术,胆肠吻合术,术后胰头肿物病理为“炎症改变”(具体不详)。7年前化验发现血糖升高,考虑为胰腺病变有关, “冠心病”十余年,未规律治疗。6年前患肺结核,规律治疗半年后停药。白内障10余年。

入院查体:T37.2℃ P70次/分 R18次/分 BP100/60mmHg 神情,面色苍白,巩膜无黄染,双肺呼吸音清,未闻及干、湿啰音。HR70次/分,律齐,各瓣膜听诊区未闻及杂音。右上腹可见手术瘢痕,腹软,中上腹,下腹正中及右下腹压痛,无肌紧张,无反跳痛,肝脾肋下未及,未及包块。Murphy’s征阴性,移动性浊音阳性,肠鸣音3-4次/分。双下肢可凹性水肿。

入院诊断:消化道出血原因待查,胆肠吻合口出血可能。慢性胰腺炎、食管胃底静脉曲张、慢性浅表性胃炎、失血性贫血、胆肠吻合术后、胆囊切除术后、继发性糖尿病、腹腔积液。

主要诊治经过:

入院后查WBC5.2×109/L,RBC2.09×1012/L,HGB59g/L,PLT81×109/L,柏油样便,镜检未见异常,潜血(+),经禁食、补液、输血、止血药物等治疗,患者仍间断出现便血。

胃镜检查:食管胃底静脉曲张

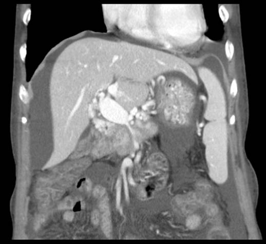
胰腺CT:胰头部病变—性质待查1慢性炎症性?2胰头癌?门静脉局限性狭窄—原因待查炎症所致?肿瘤侵犯?门静脉血栓,下腔静脉局限性狭窄---布-加综合症?大小肠水肿—肠淤血性?胸腹腔大量积液,胆囊缺如—术后改变。

小肠镜检查:胆肠吻合口多发血管扩张,空肠吻合口息肉。

左侧为空肠空肠吻合口

胆肠吻合口迂曲的血管

胆管壁迂曲的血管

经全科讨论并请普外科、介入科会诊后,考虑慢性胰腺炎所致门静脉狭窄、区域性门脉高压,周围迂曲的侧枝循环导致胆肠吻合口处多发血管扩张并出血。患者转入介入科门静脉造影见门脉远端重度狭窄,用球囊扩张狭窄段,并自肠系膜上静脉及门静脉植入支架。

4个月后随访患者未再出现消化道出血。

分享

地址:北京海淀区花园北路49号    邮编:100191

联系电话:010-82266699     E-mail:bysy@bjmu.edu.cn

Copyright © 2022 北京大学第三医院    京ICP备05082115号-2