疑难病例

当前位置: 首页 > 疑难病例 > 正文

影象及内镜检查

发布时间:2006-01-16    点击数:

小肠造影:

小肠活动可,肠腔粗细不均,肠壁柔软,

粘膜皱襞粗大紊乱,空回交界处见约

2×1cm不规则龛影,未见明显充盈缺损。

印象:小肠弥漫性病变,空回交界处溃疡

-小肠吸收不良?淋巴瘤?

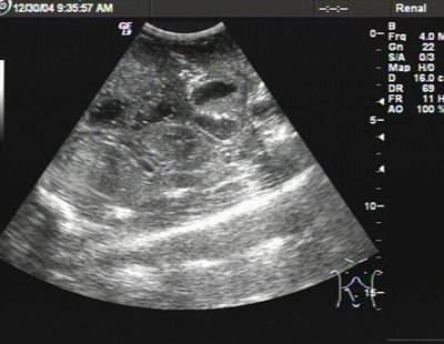
B超:小肠普遍均匀性增厚(0.6cm),

肠间隙少量积液

--低蛋白所致肠壁水肿?

B超影象

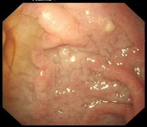
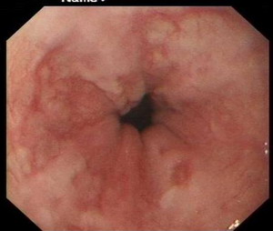
胃镜检查:反流性食管炎A级

萎缩性胃炎

十二指肠黏膜结节不平原因待查

十二指肠降段巨大憩室

1

2

3

4

胃镜影象

分享

地址:北京海淀区花园北路49号    邮编:100191

联系电话:010-82266699     E-mail:bysy@bjmu.edu.cn

Copyright © 2022 北京大学第三医院    京ICP备05082115号-2