北京大学第三医院胸外科
肋骨骨折内固定手术完成100例
肋骨骨折是胸外科常见病,重症患者病情复杂、救治难度大,因多种原因,各大三甲综合医院对肋骨骨折手术积极性不高。
北医三院胸外科迎难而上,成立创伤小组,更新治疗理念,开展肋骨骨折内固定手术,已完成逾百例手术,数量和速度领先,诊疗流程优化,成功救治多例重症患者。
肋骨骨折治疗现状
肋骨骨折是胸外科急诊领域的常见病,每天在急诊就诊的肋骨骨折患者大概能有5~10例。绝大多数都是轻型的无错位肋骨骨折,致伤原因轻,疼痛轻,不需要手术治疗,只需药物止疼,加以外固定板缓解疼痛。一般在2~4周疼痛可缓解,疾病可痊愈。
而平均每两天都会遇到一例致伤原因较重的肋骨骨折,常见原因有车祸伤,坠落伤,撞击伤等等。受伤时间短,碰撞速度快,常合并全身其他脏器及骨头的创伤,可合并出血性休克等严重威胁生命的情况。由于病情复杂,需要医师迅速做出判断,需要较高的临床经验,并邀请多学科会诊协助诊疗。
患者常为高老龄,多发内科合并症及长期大量吸烟的患者,由于起病较急,没有充分的时间做全身评估,很多潜在疾病存在风险。且患者中较大多数为农民工。还有一部分为外地患者,当地医院无急诊救治能力,故转诊至我院。因此患者中很多没有北京医保,多为自费或异地医保。多发创伤的救治十分复杂,常需入住ICU及多学科手术治疗,花费较大。不少患者需要申请道路救助基金,缓解燃眉之急。

肋骨骨折在三甲医院的困境
由于胸部外伤的急迫性及不确定性,并没有大量的病例需要每日手术,相较于肺结节肺癌患者的数量,可谓是少之又少。因此在胸外科学界并没有一个相对独立的创伤专业组,不少地区的胸部创伤是由专科医院或骨科创伤医院或120中心负责诊疗。
三甲综合医院承接着大量肿瘤患者的诊疗,常规肺结节患者等待住院就需要一个月以上,即便是周末手术,床位和手术台也是非常饱和。并不是因为肋骨骨折不需要手术,而是考虑到专业不清,床位有限,手术台不够,病人合并症较复杂,预后转归不明确。综合各种原因,各大三甲综合医院肋骨骨折的手术都不是很积极。
北医三院胸外科的突破与成果
北医三院胸外科破除一切困难,迎刃而上。在科主任强光亮的支持下,成立了创伤临时专业小组,由金亮主治医师负责,林楚童主治医师及宁英泽主治医师主要参与,其他医生在急诊值班时评估患者伤情。床位不够就用临时空出的床位快速周转,手术台饱和就利用夜间及周末的时间进行手术。
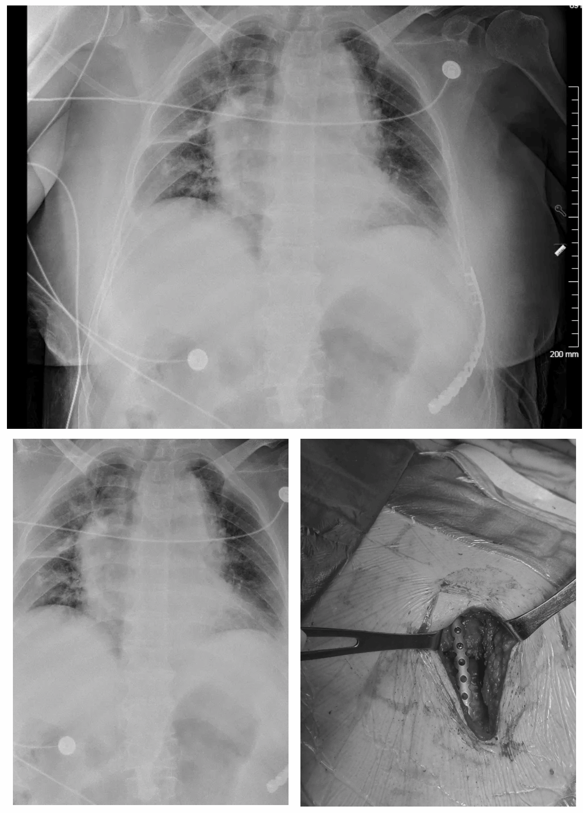
在2023年10月开展肋骨骨折内固定手术,至2025年4月已完成百例的胸壁骨折固定术。虽然仅有百例,但在北京乃至全国完成的数量及速度都是遥遥领先。在这一年半的时间里,与上海六院及积水潭医院进行充分的合作及学习,早些年一年仅能做不到20例的环抱器肋骨骨折内固定术,由于技术的壁垒,大多数肋骨骨折患者转诊至其他医院或者强行要求保守治疗,很大程度上增加了患者的痛苦,没有从根本上为患者解决问题。
内固定系统的应用,使肋骨骨折上升到了一个新的高度。利用螺钉钢板系统及微创内窥镜系统,整个胸壁的肋骨都可以进行固定,大大拓宽了手术适应症,充分解决了患者的需求。新技术需要学习曲线,门槛较高,但是入门后上手很快。后续细节上需要精益求精,如何减小患者的伤口,如何定位准确找到准确的骨折点,如何利用小切口固定更多的肋骨,如何降低患者术后的疼痛。这些也都成了教学和科研很好的方向。


典型救治案例与诊疗流程优化
北医三院胸外科联合三院创伤中心这一年半中救治了多个肋骨骨折合并全身多发伤的患者。例如合并颅内出血的患者,合并脊柱骨折的患者,合并四肢骨折的患者,合并肝脾破裂的患者。已逐渐总结出肋骨骨折合并多发创伤的诊疗救治流程,增加了患者救治过程的安全性,提高了患者整体的预后效果。各学科间鼎力合作,配合十分默契,相互信任,主动承担应有的责任,这也让患者得到了更充分的康复。
同时在处理重症胸外伤患者上也不断进行挑战,成功救治了一名肋骨骨折合并急性肺栓塞的患者。成功救治了一名双侧多发肋骨骨折、胸骨骨折,汽车碾压伤的患者。还成功救治了一名车祸撞击伤,胸骨分离,双侧肋骨粉碎性翻转骨折的患者,对该患者进行了胸壁整体的重建,效果非常满意。患者体重200斤,手术操作十分困难,术后恢复良好,可以自主下地行走。还救治过高龄90岁的老人,术后康复出院,可生活自理。通过肋骨内固定技术,还可以进行多种肋骨肿瘤的救治及胸廓重建术。

肋骨骨折手术的意义与治疗理念更新
胸壁外伤的手术不光是救命止血,治疗的意义更多在于缓解疼痛,改善呼吸,恢复正常的功能和生活。这一理念在很多患者乃至医生身上,是认识不到的。很多人抱着陈旧的理念,觉得肋骨骨折不用做手术,只要移位不严重保守都可以康复。
根据最新国际指南,以及100例手术的经验总结。肋骨骨折手术后第2天就能很大程度缓解疼痛症状,第3天就可以正常自主下地,自由活动上肢。术后第4天可顺利出院,疼痛基本完全缓解,可恢复正常生活。
由于肋骨骨折的特殊性及放射影像的诊断局限性,很多急诊发现肋骨骨折的患者,当时骨折并不严重,且没有明显错位,可能在两周之内错位加重,疼痛加重。只要是大于三根的肋骨骨折就会存在胸廓不稳定性,导致活动时呼吸功能受限,疼痛加重,都具有手术固定的指征。

对患者与医生的呼吁
作为患者要正视自己的疾病,有权利有机会选择更好的医疗条件,让自己缓解症状,避免遗留长期的生活质量低下。
作为医生,更需要不断提高自己的技术水平,更新知识理念。面对肋骨骨折,不畏惧困难,勇于担当。向患者充分告知病情的严重性及手术的必要性,而不是回避问题视而不见,让该手术的采取保守治疗,错失手术时机,患者将会面临长期的胸部疼痛和活动能力下降。