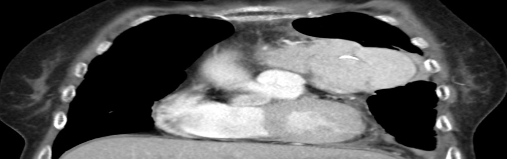
近日,胸外科联合多学科采用微创手术等多种新技术,成功治疗一名高龄、低心肺功能、手术合并症多的高难度巨大纵隔恶性肿瘤患者。患者术后7天顺利出院,一家人拉着胸外科医生护士的手,高兴的久久不愿放开。 来自唐山80岁的李奶奶,入院前3月因严重胸闷、憋气症状在当地医院发现左前纵隔巨大恶性占位,并伴有房颤、冠心病、双侧大量胸水。穿刺病理示恶性胸腺瘤。曾辗转就诊于北京多家知名医院,均因病人状态差、合并症多、手术切除难度高、风险大被婉拒。为来我院就诊,患者宁愿放弃医保医院,全部自费,闫天生主任考虑肿瘤巨大,与周围脏器粘连重,侵犯心包、肺动脉、膈神经。经与家属及患者沟通后,设计了一套“三明治”治疗方案,这个方案结合了相关学科的多项新技术资料与信息,既术前半量放疗-手术-术后再放疗为特点的“三明治”疗法。术前半量放疗完成后,闫主任认为手术时机已成熟,遂收入我科。

经全科两次查房讨论,又行全院疑难病例联合查房会诊,考虑到患者高龄,状态差,伴有房颤、左侧胸腔积液,胸闷、憋气症状较重,严重低心肺功能。拟定了术前先由消化科胃镜下放置空肠营养管,保证患者术后呼吸机插管时肠道营养供应,降低应激性溃疡的发生机率,再由介入血管外科术前24小时内行肿瘤滋养血管栓塞治疗,阻断血供,减少术中出血风险的最终治疗方案。
11月6日由胸外科闫天生主任主刀,王通主治医师、金亮住院医师做助手,为患者实施手术。手术先行VATS辅助下左侧胸腔探查,见肿物与心包及左肺动脉干、左肺上叶侵犯粘连,约6*9*12cm大小,分叶状。再沿左侧乳房下缘作弧形小切口,见肿瘤与心包、肺动脉、膈神经粘连极重,分界不清。逐层分离粘连,保护心包、肺动脉及膈神经,成功将肿物完整切除。手术历经3小时,出血仅仅30ml。

术后进重症监护室,经呼吸机辅助通气呼吸,空肠鼻饲营养支持等治疗5天后,成功脱机转出监护室,拔除胸引管,术后天顺利出院。

胸外科联合多学科成功治疗疑难复杂病例已积累较多经验,表明胸外科在恶性肿瘤的治疗上,不再依靠单一手术方式,而是通过术前病理诊断,半量放疗,早期肠道营养支持,介入阻断血管等多种新技术,为外科手术创造最适条件。既扩大了手术适应症,又降低了手术风险,还提高了手术成功率。制定完善稳妥的手术方案,多学科联手出击,全方位充分运用新技术,标志着我院胸外科在纵隔肿瘤的治疗上已处于高端水平,并深受同行的认可,闫天生主任是北京胸外科学会纵隔分会常务副组长。联合多学科治疗方式的广泛应用,将会让更多的患者受益,扩大我院的影响力。
