肩肘关节外科

从20世纪90年代后期开始将微创技术应用于肩、肘运动损伤的治疗中,取得了良好的临床效果。近年来,手术数量迅速增加。2022年一年内完成肩关节镜手术近2300例,肘关节镜手术近200例。目前已经与国际发展趋势同步,居国内领先水平。
在临床实践中发展了许多新的检查方法,提高了诊断的准确性。后上挤压试验丰富了后上盂唇损伤的诊断方法;两步法改良Neer撞击征提高了肩袖损伤诊断的准确性;抱抬试验提高了肩袖损伤诊断的灵敏性。其中Hug-up(抱抬抗阻试验)和ABERR(外展外旋抗阻试验) 两项肩关节查体的研究作为High Quality Study(高质量研究)写入AAOS指南,在全球范围内进行推广和普及。
在国内较早开展了肩关节复发性脱位、肩袖撕裂、肩峰下撞击综合征、SLAP损伤、肩袖钙化性肌腱炎、二头肌腱损伤、肩关节僵硬及粘连、肩锁关节脱位、肩关节类风湿性关节炎等镜下手术。并在国内率先开展了关节镜下二头肌长头腱缝合术、肩胛骨骨软骨瘤切除术、冈盂囊肿切除术及肩胛骨骨软骨瘤的镜下切除术等,大大减轻了患者的痛苦。在国际上首先应用关节镜技术,切除三角肌下脂肪瘤及三角肌挛缩,首次报道大菱形肌撕脱导致疼痛性肩胛骨弹响等。
近年来,开始开展全镜下喙突移位Bristow,Latarjet手术治疗肩关节复发性脱位。目前已经可以在2个小时内完成高难度的全镜下Bristow,Latarjet手术。崔国庆教授受到中国古建筑学中“榫卯”结构的启发,将之引入经典的Bristow手术中,在国际上首创关节镜下改良“嵌入式”喙突移位(Bristow)手术,并将其命名为CUIstow手术(Chinese Unique Inlay Bristow),通过增加骨接触愈合面积,显著增加了移植喙突骨块的稳定性并且极大提高了术后的骨愈合率。截至目前为止,该手术技术在课题组所在单位已经成功实施400余例,3年中期随访结果显示,术后骨愈合率达到了96.4%,并发症的发生率仅为3.6%,术后重返运动比率达到了98%,取得了非常良好的临床效果以及患者满意度。相关成果发表在国际运动医学领域权威期刊American Journal of Sports Medicine,AJSM和国际骨与关节领域权威期刊Journal of Bone & Joint Surgery,JBJS。
另外,还陆续开展了肩关节置换,关节镜辅助背阔肌转位治疗不可修复后上型肩袖撕裂,全镜下胸小肌腱带骨块转位治疗不可修复肩胛下肌健撕裂,胸大肌转位治疗翼状肩胛,都取得了良好的效果,为患者减轻了痛苦。
在肘关节损伤中,微创技术后近93%的运动员重返运动场,很多人取得了更好的成绩。开展了急性、慢性肘关节尺侧副韧带(UCL)、外侧副韧带复合体(PLRI)的诊断重建工作,治疗效果非常满意。发展完善了肘关节滑膜全切除技术,对类风湿性关节炎(RA)、色素沉着绒毛结节性滑膜炎(PVNS)、滑膜软骨瘤病、骨关节病等提供了有力的技术支持。开展了冠突骨折的关节镜辅助下复位内固定,肘关节粘连僵硬的治疗,为患者减轻痛苦。并率先开展了顽固性网球肘、骨样骨瘤的镜下治疗,手术创伤小,术后恢复快。
腕关节镜技术作为一种可靠的常见检查及治疗手段在我所得到了进一步的运动。腕关节镜手术不仅能帮助明确诊断,而且能有效地治疗疾患,同时对患者的创伤较小。恢复快,使许多运动员会由此重新恢复运动青春。腕关节镜技术可应用于多种腕关节疾患的诊断和治疗,包括三角软骨盘损伤的修整、关节软骨损伤的修整、滑膜切除、多种关节炎的冲洗及清理、游离体取出、腱鞘囊肿切除、腕管综合征的治疗均可在关节镜下完成。并开展了下尺桡不稳的治疗,TFCC的修复与重建。


肩袖巨大撕裂镜下缝合修复

关节镜辅助背阔肌转位治疗不可修复后上型肩袖撕裂

全镜下胸小肌腱带骨块转位治疗不可修复肩胛下肌健撕裂

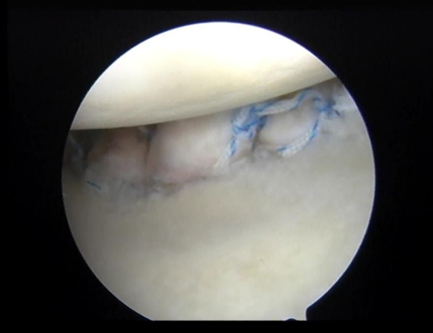
肩关节镜下修复Bankart损伤


肩锁关节脱位全镜下复位内固定



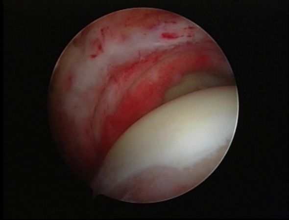
肩关节Bony-Bankart损伤



肩关节镜下缝合修复Bony-Bankart术后


全镜下Bristow手术

在国际上首创关节镜下改良“嵌入式”喙突移位(Bristow)手术,并将其命名为CUIstow手术(Chinese Unique Inlay Bristow)


全镜下Latarjet手术

反肩置换术

肘关节PLRI:外侧尺骨韧带重建


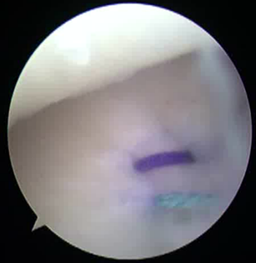
肘关节滑膜软骨瘤病


肘关节镜治疗滑膜软骨瘤病


腕关节镜下TFCC缝合修复术