髋关节外科

北京大学运动医学研究所自2002年起,着手髋关节镜技术的开展,并逐渐在髋关节疾病的诸多领域中广泛应用。目前我所每年开展髋关节镜手术超600例,是亚洲开展髋关节微创治疗最大的治疗中心之一。主要的手术适应症包括:髋关节撞击综合征,髋关节盂唇损伤,髂前下棘撞击综合征,髋关节各类滑膜炎性疾病,成人髋关节发育不良等;此外一些髋关节周围疾病的镜下微创治疗也得到了普遍开展,如臀肌挛缩,髂腰肌弹响,髋旋转袖损伤,腘绳肌止点损伤等。同时对于国人髋关节撞击综合征的发病机理,诊治特点等方面也做了深入的基础研究,得到包括国家自然科学基金、首都特色发展基金等十多项科研基金支持,发表50余篇国内外文献。同时首先并连续四年每年在全国范围内举办髋关节镜学习班,在推动我国髋关节镜发展过程中起到了举足轻重的作用。
运动员的脊柱脊髓损伤是运动创伤的重要研究领域。运动员的脊柱相关损伤非常多见,而由于运动员本身体能、专项训练等的特殊性,其流行病学特点和防治原则与普通人群不尽相同。研究所自成立以来,在脊柱损伤方面进行了大量研究和实践,尤其在脊椎椎板骨折、椎体离断症、颈椎骨折脱位、椎间盘突出症、腰肌筋膜炎等方面积累了宝贵的预防和治疗经验,并为各专业运动队广泛认可和接受。


开展髂前下棘减压术,在国际上首次提出来用超声引导下封闭试验与术前影像学相结合的方式更好地诊断髂前下棘撞击,尤其是合并股骨髋臼撞击综合征病人,关节镜术中进行针对性髂前下棘充分减压,改善病人术后功能评分。

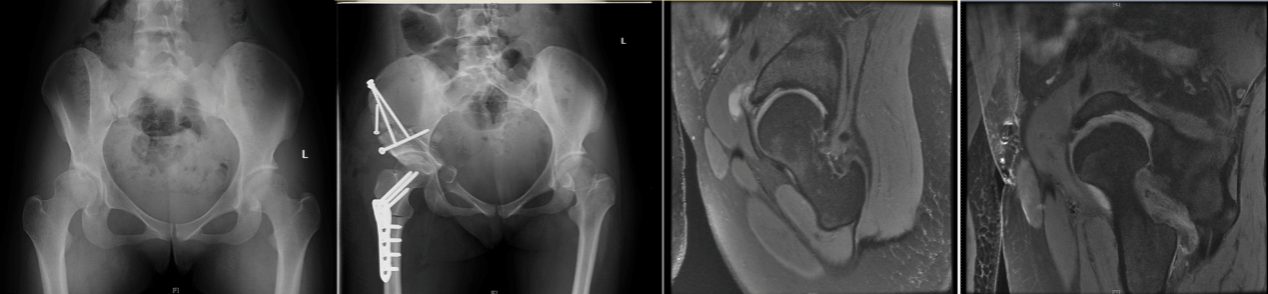
近年来我所已开展针对成人髋关节发育不良的保髋治疗。目前髋关节组已开展髋臼周围截骨术、股骨去旋转截骨术近五十例,包括专业运动员3例,近期随访效果满意。同时,髋关节组在国内率先开展了髋关节镜联合髋臼周围截骨术,首先利用髋关节镜下将关节内的盂唇及软骨损伤进行修复,然后通过髋臼周围截骨手术改善患者的髋臼覆盖情况。本手术方式可以更好地提高患者的手术疗效。这丰富了我所髋关节疾病的治疗手段,极大推动了髋关节专科的学科发展。

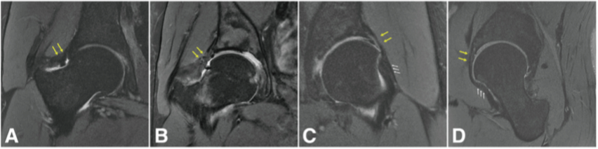
国际首创关节镜下软骨钉植入治疗髋臼软骨剥脱损伤,目前髋组已完成数十例髋关节镜下软骨剥脱修复术,在手术指征的选择,手术技术,围手术期管理等方面有较为先进的经验,处于国内领先,国际一流地位。


国际首创关节镜下关节囊提拉紧缩术,可提高髋关节微不稳及临界髋关节发育不良患者术后关节稳定性,提高关节囊术后愈合率的同时提升关节囊张力,通过软组织手术实现增加髋关节整体稳定性。

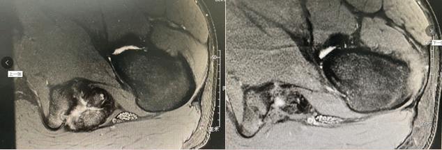
髋组进一步开展髋关节镜下盂唇重建手术,相关手术技术更加更熟完善,取得了良好的临床效果,并创新性的提出了微创膝关节外侧小切口取自体髂胫束的新型取腱方式,进一步提高取移植物的速度,减小取腱创伤,改进手术流程。


熟练开展腘绳肌近端止点撕脱的关节镜下治疗,进一步完善手术流程,改善腘绳肌近端撕裂患者术后运动功能恢复,取得了较好的临床效果。


研究所开展髋关节镜诊疗新进展学习班、全国髋关节镜基础及高级学习班等,推动了我国髋关节镜技术的发展,获得了一致好评。