超声在诊断髋关节相关疾病领域尚处于起步阶段,北医三院运动医学科徐雁教授课题组联合超声科崔立刚教授课题组针对这一现状开展了深入而系统的研究共同探索并提出了一系列创新的超声诊断方法,旨在精准地诊断髋关节相关疾病,为临床医生提供新的诊断思路。这些研究成果不仅推动了超声诊断技术在髋关节疾病领域的应用和发展,也为患者提供了更为准确、可靠的诊断服务,有助于早期发现和早期治疗,为超声诊断髋关节相关疾病领域的发展注入了新的活力,有望在未来推动该领域取得更大的突破和进展。
进展介绍
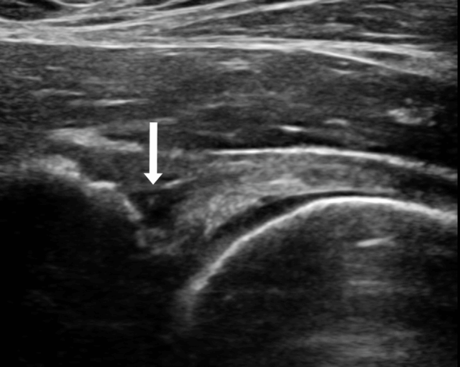
为了探索超声诊断髋臼前上盂唇损伤的效果,我科以关节镜手术作为诊断的金标准,对比了超声与磁共振成像(MRI)在髋臼前上盂唇损伤诊断中的效能。研究共纳入了195名患者,通过详尽的数据分析,我们发现在诊断髋臼前上盂唇损伤时,超声的灵敏度为68.5%,特异度为81.8%,阳性预测值为98.4%,阴性预测值为13.4%,准确度为69.2%。MRI的灵敏度为84.8%,特异度为63.6%,阳性预测值为97.5%,阴性预测值为20.0%,准确度为83.6%。尽管超声在灵敏度方面略逊于MRI,但其特异度和阳性预测值却更胜一筹。值得一提的是,超声还具有诸多优势,如价格低廉、检查过程相对快速、无创、可动态评价等。这些特点使得超声在临床实践中具有广泛的应用前景,成为评价髋臼前上盂唇损伤的可行方法。这一研究成果已得到欧洲医学和生物学超声学会联合会(EFSUMB)的认可,并被纳入其临床应用指南。
Gao G, Fu Q, Cui L, Xu Y. The Diagnostic Value of Ultrasound in Anterosuperior Acetabular Labral Tear. Arthroscopy. 2019 Sep;35(9):2591-2597.

超声诊断髋臼前上盂唇损伤

欧洲医学和生物学超声学会联合会临床应用指南纳入超声髋臼前上盂唇损伤的诊断方式
髋关节撞击综合征(FAI)的典型表现为腹股沟疼痛,但临床上亦不乏以髋后、腰骶和下肢等症状为主的非典型症状型FAI,这给临床诊断和治疗方式的选择带来了不小的挑战。为了解决这一问题,我科创新性地提出了超声引导下注射的方式用于诊断非典型症状型FAI。本研究共纳入了78名非典型症状型FAI患者,经过深入研究,我们发现超声引导下注射在诊断髋关节内病变的准确率高达91.7%,术后94.4%的患者临床结局评分超过了最小临床重要差异(MCID),91.7%的患者达到了可接受的症状状态(PASS)。基于上述研究结果,我们建议对于非典型症状型FAI的患者,可采用超声引导下注射的方式进行明确诊断。对于注射结果为阳性的患者,可考虑进一步采取手术治疗。这一诊断方法不仅提高了诊断的准确率,还为患者提供了更为精准的治疗方案。
Gao G, Fu Q, Wu R, Liu R, Cui L, Xu Y. Ultrasound and Ultrasound-Guided Hip Injection Have High Accuracy in the Diagnosis of Femoroacetabular Impingement With Atypical Symptoms. Arthroscopy. 2021 Jan;37(1):128-135.

超声引导下注射诊断非典型症状型FAI
髂前下棘撞击(SSI)是FAI患者中常见的合并疾病,传统的诊断方式主要依赖于X线与CT检查。为了进一步改进诊断方法,我科对40名SSI患者进行了超声检查分析。研究发现,髂前下棘(AIIS)的骨形态Ⅲ型、前上关节囊和股直肌(dRF)腱直头内的不均匀性低回声与SSI的发生密切相关。特别是前上关节囊的异质性低回声,其在SSI的诊断中表现出较高的价值,灵敏度达到85.0%,特异度为58.1%,AUC值为0.681。此外,通过综合多个超声指标,我们构建的超声复合指标的AUC值更是达到了0.750,显示出良好的诊断效能。超声评估还发现,AIIS附近的骨形态异常和软组织损伤与SSI的发生存在密切联系。这一发现为我们提供了更多的诊断依据,有助于更准确地判断患者的病情。超声作为一种无创、便捷的检查方法,在SSI的诊断中具有重要的应用价值。它不仅可以作为一种可行的SSI预测方法,而且与CT相结合可以进一步提高SSI的诊断价值。
Sun Y, Liu R, Tian Y, Fu Q, Zhao Y, Xu Y, Cui L. Ultrasound Assessment of Hip Subspine Bone Morphology Soft-tissue Correlates with Clinical Diagnosis of Impingement. Arthroscopy. 2023 Oct;39(10):2144-2153.

超声对于髂前下棘的定性评估
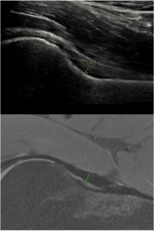
此外,我科进一步进行深入研究,评估超声检查作为MRI替代方法在临床评估髋关节囊厚度的可行性,研究发现通过超声和MRI获得的关节囊厚度测量结果显示出良好的一致性,表明超声可以在临床实践中替代MRI来测量髋关节囊厚度。同时,检验了定性和定量超声标准在诊断前上髋臼盂唇撕裂中的诊断性能,研究发现盂唇异质性回声是诊断前上髋臼盂唇撕裂的敏感标准,盂唇旁囊肿、盂唇局部高回声区和股骨头颈皮下囊肿是特异性标准。通过超声测量的前上髋臼盂唇的横截面积可以作为定量标准来诊断髋臼盂唇撕裂,结合盂唇的定性标准可以提高诊断前上髋臼盂唇撕裂的灵敏度和准确度。
Gao G, Fang H, Zhou K, Mo Z, Liu J, Meng L, Wang J, Xu Y. Ultrasound had high accuracy in measuring hip joint capsule thickness. BMC Musculoskelet Disord. 2024 Jan 29;25(1):101.
Fu Q, Jiang L, Cui L, Gao G, Xu Y, Tian C, Xue H, Sun Y. Quantitative and Qualitative Ultrasound Evaluation for the Diagnosis of an Anterosuperior Acetabular Labral Tear. Ultrasound Med Biol. 2022 May;48(5):924-932.

超声测量关节囊厚度
我科在研究中评估了超声监测在关节镜手术头颈成形术中的可行性,在39例关节镜手术中,实施术中超声检查,重点对股骨头颈交界处进行细致评估。为了形成有效对照,选取另外39例接受常规关节镜手术的患者,这些患者在头颈成形术完成后,通过C臂X光机确认无凸轮病变残留。经过深入对比研究,我们发现超声作为一种评估手段,在关节镜手术头颈成形术中展现出其独特的优势。它不仅能够确保手术过程的安全性,而且不会增加残留凸轮畸形的风险,同时避免了过度成型的问题。这一发现不仅为关节镜手术提供了新的监测手段,也进一步提升了手术的精准度和安全性。
Lin Z, Cui L, Xu Y, Fu Q, Sun Y, Feasibility and potential of intraoperative ultrasound in arthroscopy of femoroacetabular impingement, Journal of Hip Preservation Surgery, 2024

术中超声评估Cam畸形切除程度