肿瘤放疗物理师为从事肿瘤放疗物理临床、教学、科研和社会服务等工作的临床医务工作者。其主要临床工作职责包括患者治疗计划设计,放疗场地准备,设备采购、验收、测试、维护和质量保证,技术、流程开发测试和质量保证,放疗新技术研发与应用等。
目前物理组有物理师9名,其中副研究员、研究生导师1人,博士6人,硕士3人。任Journal of Applied Clinical Medical Physics杂志副主编、中国电离辐射计量学会常务理事、中国医学物理学会理事、国家标准化委员会放疗、核医学、剂量学设备委员、国家药监局审评委员会委员、中华放射肿瘤学会物理学组委员、技术学组委员、中国生物医学工程学会精确放疗分会委员、中华医学会影像技术学分会肿瘤影像技术专委会委员、中国生物医学工程学会放射物理专委会委员、中国计量测试学会电离辐射专业委员会青年委员等学术兼职。北京大学第三医院青年学术骨干和学术带头人后备人选。
目前科室拥有直线加速器、射波刀、高剂量率后装机、放射性粒子植入系统、深部热疗机,PET/CT、MRI、CT、X-ray、超声和光学等世界领先的图像引导及治疗设备。能够开展立体定向放疗、三维适形放疗、调强放疗、旋转调强放疗、图像引导调强放疗、全身放疗、高剂量率后装治疗、放射性粒子植入和深部热疗等多项先进肿瘤治疗技术。发表SCI收录论文20余篇,核心期刊论文30余篇,文章被北美近距离治疗学会指南引用。牵头、参与制定国家指南、标准20余项。获批专利1项,参编中英文专著7部。主要研究方向包括人工智能肿瘤辅助诊疗技术、设备研发与临床应用等。承担国家自然基金、北京市自然基金、北京市科委科技计划课题、北京市卫健委首发专项、国际原子能机构(IAEA)RCA等项目10余项。举办全国肿瘤放疗物理学培训班5次,进修物理师、实习学生100余人,培养研究生6名。曾获美国近距离治疗学会 Seattle Prostate Program Fellowship、HDR Brachytherapy Scholarship奖(国内唯一获得者)、北京大学第三医院技术创新二等奖、转化创新大赛二等奖、最佳人气奖。参与项目获中华医学科技二等奖、北京市科学技术二等奖、教育部高等学校科学技术进步二等奖、华夏医学科技三等奖。多次获得中华放射肿瘤学会物理学年会、北京放射肿瘤学年会优秀论文奖。北医三院先进个人、优秀共产党员等。
为每名患者提供更安全优质的肿瘤放疗物理服务是物理师的职业要求和努力目标。

图1 粒子植入治疗椎旁肿瘤病例

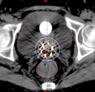
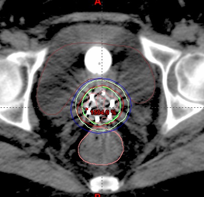
图2 后装插植植入治疗妇科肿瘤病例

图3 医用直线加速器治疗头颈肿瘤病例

图4 射波刀治疗椎体肿瘤病例