细针针吸细胞学(FNAc)是一种用内径极细的穿刺针抽取细胞或组织碎片进行检测的常规病理学方法,具有经济、安全、灵敏、可靠的特点。尤其对于甲状腺及淋巴结等实质器官疾病的术前定性、分期诊断起着极其重要的作用。
我科室FNAc病理诊断已开展了7年,目前以头颈部甲状腺及淋巴结FNAc为主,每年相关病例诊断量超过700例,并逐年增加。除了细胞病理形态学诊断外,还可进行免疫组织化学及分子检测。
我科室FNAc主诊医师梅放曾于2013年赴美国哈佛大学医学院附属布里根妇女医院病理科细胞学室专门学习FNAc的诊断。目前梅放医师通过FNAc对甲状腺乳头状癌术前的阳性确诊率高达100%,并通过与相关临床科室的深度合作,共同建立了北京大学第三医院甲状腺疾病MDT团队。此外我科室的FNAc平台具备完善的内部、外部质控流程,该套质控流程获得了北京大学第三医院2019年度的医院安全管理奖二等奖。

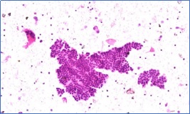
甲状腺乳头状癌FNAc液基细胞学标本(常规HE染色)

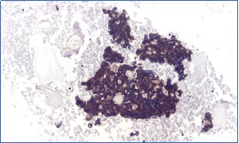
甲状腺髓样癌FNAc细胞块标本(Syn免疫组织化学染色)