北京大学医学部病理学系的神经病理亚专业,创设起始于1982年。于1996年成立了神经病理研究室,隶属于北京大学第三医院病理科和北京大学医学部病理学系。本室将基础科研与临床诊断相结合,侧重于周围神经病、肌肉病、神经系统肿瘤及非肿瘤疾病等方面的研究和诊断。在神经肌肉活检平台方面,通过建立健全神经肌肉活检病理技术,将常规染色与酶组织化学染色、免疫组织化学染色的病理检测方法与超微病理的电子显微镜技术有机结合,近年来积极开展大量神经肌肉活检的病理诊断工作,在周围神经病、遗传性肌肉病、炎症性肌病等方面具有丰富经验,位于全国领先的神经肌肉病理诊断平台之列。为院内的神经内科、风湿免疫科、呼吸科、心内科、骨科等相关科室提供可靠有力的神经肌肉疾病病理诊断服务,年病例量近百例,并为全国多个省市自治区的医院提供神经肌肉疾病的病理会诊服务。目前,本平台有钟延丰教授(主任医师)、郑丹枫主治医师等固定成员,与临床科室有着长期稳固的合作关系,现已形成了每月2次以上的常规临床病理讨论,2次/年以上的市级和全国性的临床病理讨论会。除接收全国各地的会诊外,已接收全国范围的病理医生短期进修数人。
目前可开展项目包括:
1.本院可疑神经肌肉疾病的神经和肌肉活检新鲜组织的病理标本接收、病理切片制作及诊断。
2.外院(以北京市为主或新鲜肌肉活检标本,取材后马上送检,1小时内可送达者)可疑神经肌肉疾病的神经和肌肉活检新鲜组织(必须为新鲜肌肉组织)的病理标本接收、病理切片制作及诊断。
3.外院(包括外省市)的神经和肌肉活检切片的病理会诊(需附临床资料)。
4.外院(包括外省市)的神经和肌肉疾病电镜标本制作、诊断(需附临床资料及必要的光镜切片)。

炎症性肌病:分别为HE(左上),特殊染色GMT(右上)、免疫组化染色MHC-1(左下)和 Dystrophin(右下)

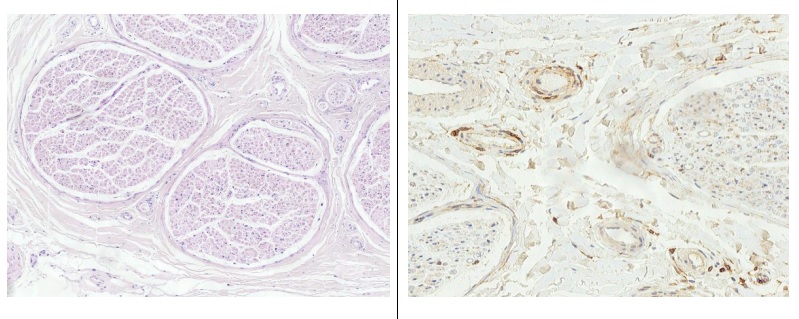
周围神经病 ( HE和CD4染色)
联系方式:
院内请联系:33843。
院外请联系:010-82265117(病理科收发室)。