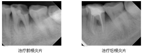
后牙弯细根管的根管治疗一例
根管治疗用于治疗牙科常见的牙髓病及根尖病,是唯一有效的长期保存患牙的治疗方法,牙髓病及根尖病是由各种原因引起的牙髓感染所致的,通过根管治疗用根管锉等精细的器械去除根管内的感染组织,达到彻底清创的目的,再用充填材料严密充填根管,封闭死腔,杜绝再次感染。
彻底清创和严密充填是根管治疗成功的关键,但因根管形态变异很大,许多根管过细,或存在弯曲、钙化,有时很难做到彻底清创和严密充填,为解决这一问题,我科引进了手用和机用NiTi锉系统、口腔显微镜、根长测量仪等先进技术和设备,明显提高了根管治疗的成功率,对很多后牙弯细根管也能成功治疗。
以下是一名52岁的女性患者左下后牙根管治疗的病例,患者因左下后牙自发痛3天,冷热刺激加剧前来就诊,经临床检查确诊为左下第一磨牙龋齿引起的急性牙髓炎,需做根管治疗。因患者年龄较大,根管存在钙化,而且牙根形态弯曲,治疗难度较大,经过仔细探察,运用先进的仪器设备,做到完善根充,治疗效果理想,症状完全消失。治疗前后根尖片见图。

--------------------------------------------------------------------------------
后牙根分叉处牙根外吸收一例
张雪梅,王霄,王继朝
(北京大学第三医院口腔科,北京100083)
1.临床资料
患者,女,29岁。发现右下后牙有洞近2年,一直未予处理,现无明显疼痛症状。
检查:46近中邻牙合面深龋,近远中根管口均暴露,无探痛;冷测、热测及叩诊均为阴性,不松动;牙龈无明显异常。摄X片示:46根分叉处阴影,近中根远中面低密度影。
诊断:46深龋;根分叉病变;可疑近中根外吸收。
治疗:试行根管治疗术,近中两根均不能获得长度,认为近中根处存在吸收,告知患者病情,患者要求拔除该牙。拔除该牙后发现近中两根远中面近根分叉处根外吸收,并与近中根管腔相通。
2.讨论
牙根表面发生的进行性病理性吸收称为牙根外吸收。临床上牙根外吸收以根尖部及牙颈部较为常见,而根分叉处的牙根外吸收报道较少。
在本例中,笔者认为,由于多根磨牙的根分叉区存在着复杂的解剖结构[ 1, 2, 3 ],患者46的近中邻面深龋与髓腔穿通后,细菌及其产物通过髓室底处的副根管到达根分叉,引起了根分叉处的慢性炎症,持续存在的炎症导致了进行性的根吸收[4]。本例根外吸收主要发生在近中根的远中面,笔者推断,可能是解剖变异导致副根管主要偏近中,使得炎症持续刺激其近中根的远中面的缘故。
牙根外吸收是一种炎性吸收,到目前为止,临床上还无有效的方法预防,且常出现误诊、误治的情况。早期发现,及时治疗有利于保存患牙,治疗原则是去除病因、阻止病变发展,修复缺损。就本例而言,可以在完善的根管治疗及牙周治疗后修复牙根缺损,但操作困难且效果不佳;或者采取分根术保留远中牙体牙根组织。
(注:摘自< 牙体牙髓牙周病学杂志>2007;6.)
--------------------------------------------------------------------------------
下颌尖牙三根管一例
李欣
患者,女,63岁,主因左下牙冷,热刺激痛,自发痛,咬合不适多日于2006年7月27日来我科就诊。查:颌面部对称,下颌可见烤瓷桥及烤瓷冠修复体,左下二全冠修复,牙龈未见异常,叩诊(+ -),不松动,X线片显示:根尖阴影,根充欠填,且偏向一侧;左下三近中邻面深龋近髓,冷测(+),叩诊(-),不松动,X线片显示:根尖1/3牙周膜增宽,未见根尖病变,牙根中1/3根管影像模糊,咬合关系尚可。初步诊断:左下三牙髓炎,且多根管;左下二不完善根管治疗,慢性根尖周炎,疑有遗漏根管。治疗计划:左下三拟行根管治疗;左下二行根管再治疗。处置:左下三碧蓝局麻下去净腐质,常规开髓揭顶,修整髓室侧壁,形成便利形。以DC-16探针探及多个根管口,拔髓,用10号K锉疏通根管并达到工作长度,颊侧根管及舌侧根管WL均为21.5cm,在颊侧根管与舌侧根管之间还可探及一根管,测得工作长度为16cm,插诊断丝拍片,可见颊舌向排列的三个根管,按步退法预备根管的根尖1/3到30#;其冠中2/3用2#-4#扩孔钻预备以便形成良好的锥度。每次更换器械均用2ml2%氯亚明及EDTA充分荡洗根管.根备后根管用纸捻拭干,采用冷侧压方法严密充填根管,再拍片显示根充恰填。
关于下颌尖牙三根管尚未见到国内,外学者的相关报道。
(注:摘自《牙体牙髓牙周病学杂志》2006;10.)
--------------------------------------------------------------------------------
上颌第一磨牙五根管一例
李欣
患者,男,26岁,2006年7月29日来我院口腔牙体牙髓科就诊,主诉:右上后牙食物嵌塞痛,咬合不适数日;查:右上六近中颌面深龋露髓,探不敏,腐质较多,叩诊(+),活力测(--),X片显示:露髓,根管口有钙化,根周膜增宽,近颊根管影响模糊,疑有MB2;签知情同意书;处理:右上六颌面开髓,揭髓顶,制备便利型,应用EDTA及根管超声器械去除钙化疏通根管,10#K锉探通根管达工作长度,可探及近中颊两根管MB2,腭侧两根管,远中颊根管共五根管,应用镍钛机用扩根器械采用步退法预备根管至30#,边扩根边冲洗,防止产生牙本质泥,测工作长度,嘱:封药两周后复诊;复诊根尖症状消失,去封药,冲洗蘸干根管,碧蓝麻红糊根充五根管,侧方加压,根充后拍X线片显示:恰填。
上颌第一磨牙五根管查阅国内外文献资料未见相关报道。
(注:摘自《口腔医学研究》2006;6.)
--------------------------------------------------------------------------------
上颌第一磨牙五根管一例
李欣
患者,女,26岁,2006年10月19日下午,来我院口腔牙体牙髓科就诊。主诉:右下后牙固定桥脱落,牙龈肿痛,要求冲洗消炎;查:右下五缺失,右下四五六烤瓷桥固定修复,修复体松脱数日,右下六残冠,旧充填体脱落,继发龋(+),叩(+-),颊侧牙龈可见瘘管,X线片显示:右下六根分歧病变,根尖阴影,曾做治疗,疑为塑化治疗后;治疗计划:右下六行完善的根管再治疗后,重新粘接修复体;签知情同意书;处理:右下六颌面去腐开髓,揭髓顶,制备便利型,应用酚克除液去除参与塑化液,根管超声器械去除钙化疏通根管,10#K锉探通根管达工作长度,可探及远中颊舌两根管,近中三根管,即颊侧根管舌侧根管及MM根管,共五根管,应用镍钛机用扩根器械采用步退法预备根管至30#,边扩根边冲洗,防止产生牙本质泥,测工作长度,碧蓝麻红糊根充五根管,侧方加压,根充后拍X线片显示:恰填。
研究表明,下颌第一磨牙为多根管牙,一般多为三到四个根管;近一年来,临床曾数次遇见下颌第一磨牙五根管的患牙,但查阅国内外文献,尚未见到有关报道,今后就此项课题即:下颌第一磨牙根管发生变异的特点与几率,还需进一步研究。
(注:摘自《现代口腔医学杂志》2007;4)
--------------------------------------------------------------------------------
14个恒牙先天对称缺失伴1个多生牙1例
张玉苹
(北京大学第三医院口腔科,北京100083)
病人,女, 12岁,因“换牙少”而就诊。足月出生,居住北京。否认类似家族史、重大疾病。身高158 cm,体质量40 kg。体检时回答问题反应灵敏,在校学习成绩良好。口腔检查、全口曲面断层片(图1)显示: 2个下颌尖牙(33、43)、8个前磨牙(14、15、24、25、34、35、44、45)、4个第二磨牙(17、27、37、47), 4个第三磨牙(18、28、38、48)均缺失。左上颌侧切牙(22)为畸形牙,下颌中切牙间(31、41)有一多生牙、滞留的乳牙有2个下颌第一乳磨牙(74、84), 4个第二乳磨牙(55、65、75、85);已萌出恒牙均未见龋损,不松动,且釉质完整。
依据近年来的不少文献观点[1],该病例为非综合性(单纯性)先天多牙缺失。特点是全部第二前磨牙缺失,与报道中所说的,缺失牙发生最多的部位在前牙或是第二前磨牙和第二磨牙有一定差异。另有2个尖牙缺失,有报道说[2]几乎没有尖牙缺失。
目前明确的与单纯性缺牙有关的基因有MSX1和PAX9,而且,大多数学者认同在表型基因型的关系上,MSX1与第二前磨牙的缺失相关,而PAX9与磨牙的缺失相关[3]。也有报道:遗传学研究证明,非综合性少数牙先天缺失主要与MSX1基因突变或缺失有关,而多数牙缺失与PAX9密切相关[2]。而本病例除全部第二前磨牙缺失外,有尖牙、磨牙等多数牙缺失,其具体机理还有待于进一步研究。
注:摘自牙体牙髓牙周病学杂志(Chin J ConservDent)2008, 18(6)
--------------------------------------------------------------------------------
左上第一磨牙慢性根尖炎合并上颌窦炎1例
李欣
(北京大学第三医院口腔科 北京 100083)
上颌窦炎可直接侵犯牙根或牙槽神经,引起同侧面颊及上颌牙齿酸痛或阵发性神经痛,而罹患慢性根尖周炎的上颌牙齿,在根管治疗术中也可能会因上颌窦穿通导致上颌窦炎。笔者曾遇见1例左上第一磨牙慢性根尖炎并发左上颌窦炎的患者,现报告如下:
患者,男, 36岁,主诉:左上后牙牙冠劈裂,要求治疗,检查: |6近中舌尖劈裂,髓角暴露,探露髓孔无反应,叩(±),
电活力测(-),牙龈(-),无深牙周袋,X线片显示近中颊根根尖阴影,腭根根尖与上颌窦底影像重叠,计划根管治疗后桩冠修复。治疗经过:开髓,拔髓,近颊根双根管,采用机用镍钛锉通过冠向下法预备4根管,先以15#K锉探测根管,确定工作长度,扩根至40#。氯亚明液冲洗根管,见根管内不断有无色稀薄渗出液,擦拭后反复渗出,难以擦干,氧化锌封CP捻嘱1周后复诊。患者于封药后5 d复诊,主诉颊侧牙龈肿胀,查: |6颊侧牙龈充血,轻度肿胀,不松; 3%双氧水冲洗牙周袋,上台氏液,嘱口服消炎药。数日后复诊,无症行根管充填,X线片显示恰填。根充数日后,患者因鼻腔内有异常分泌物,鼻塞复诊,否认头痛,否认有慢性鼻炎史。请耳鼻喉科大夫会诊,嘱拍上颌窦CT片。读片可见左侧上颌窦内充满渗出液,未见窦黏膜增厚,提示患者确无陈旧性上颌窦炎。在耳科经两次穿刺抽脓及抗炎治疗,症状缓解,建议作上颌窦根治术,患者最终决定保守治疗。服用消炎药两周后,炎症得以控制,鼻塞,异常分泌物等鼻部症状消失。
治疗方案:对将上颌窦炎性疼痛误诊为牙源性疼痛的情况,已开髓的牙齿应进行完善的根管治疗,永久充填。急性上颌窦炎患者采用足量有效的抗生素口服或静滴,鼻腔局部用1%麻黄素滴鼻液或滴通鼻炎水滴鼻,配合中药治疗。慢性根尖周炎患者鼻窦负压置换治疗或上颌窦穿刺冲洗,局部用滴通鼻炎水喷鼻并配合中药内服治疗。霉菌性上颌窦炎患者实施内窥镜鼻窦手术,彻底清除上颌窦腔内病变组织,并行自然窦口开大术,术后适量应用抗霉菌药物。对于牙源性上颌窦炎,治疗主要是去除病因,建立引流,控制感染和预防并发症。急性期,应及早改善鼻窦通气,建立引流,患牙开髓,根管开放引流,全身应用抗生素,上颌窦冲洗应放在急性期控制后进行。如已属慢性期应拔出患牙,对拔除患牙又经全身治疗不愈者可行上颌窦根治术,引起上颌窦炎的病灶牙原则上不应保留。总之要认真确诊,对症治疗。
注:摘自 Journal of Oral Science Research,Aug. 2007,Vo.l 23,No. 4
--------------------------------------------------------------------------------
左上后牙根管预备中双氧水冲洗根管致颌面部气肿1例
李 欣
北京大学第三医院口腔科
患者,女,40岁,因后牙冷热刺激痛前来就诊,检查:左上六充填体下方悬突,叩诊(-),冷测迟钝性疼痛,计划根管治疗后全冠修复。碧蓝麻下开髓,拔髓,远中根管粗大,拔髓针可轻易通过,M4根备至三十号,双氧水氯亚明交替冲洗,棉捻蘸干(远中根管内出血较多),调完碧蓝麻根充糊剂准备根充时突然发现左面部肿胀,波及左上下眼睑,皮下捻发音,考虑为皮下气肿,后CP开放,嘱服用利复星和替硝唑。当日下午及次日,患者左侧眶下区肿胀加重,流泪,静点利复星及甲硝唑液,两日后复诊肿胀明显减轻,眶下区轻微充血,主诉无不适,根管换药约日复诊,一周后面部肿胀完全消失,两周后复诊碧蓝糊剂加牙胶尖根充,X线片显示恰填。
讨论:气肿的原因主要为结构变异,患者颊根粗大而且根尖孔直接开口于骨膜下,器械出根尖孔破坏骨膜至粘膜下,出血较多,双氧水冲洗时遇血产生大量气泡,气枪吹干时气体通过粘膜间隙进入皮下,造成皮下气肿。作者操作中只注意牙齿,没有注意面部的变化,患者在治疗结束后反映在根备时觉得面部有吹气球感,病人以为是正常现象所以没有及时反应,四手操作病人没有起身,所以没有第一时间发现病人的变化;没有及时停止操作,造成了反复的刺激;没有术前片,对病人了解不全面;没有经验,事后不知如何解决。通过该病例总结出根管治疗过程中应注意以下几点:首先治疗前常规拍牙片,准确测算牙根长度;根备时勿使扩大针超出根尖孔;冲洗所用注射器针头一定要有弯角,避免药液直线冲出根尖孔;注入双氧水时压力勿过大;必要时先刮除窦道口肉芽组织,再行药液冲洗;一旦形成气肿,抗生素应用必不可少,以防感染随气肿播散。如果发生皮下气肿,应视组织中进入双氧水的量,产生气泡多少,气肿发生的部位采取不同的处理措施。前牙区粘膜下或皮下较轻的气肿,若不再继续产生气体,少量的气体可以被组织吸收,一般作根管开放引流即可。后牙区颊部,颌下等部位的皮下气肿,除根管开放引流外,还应视气肿严重程度做软组织切开引流,以免气泡进一步扩散到深层的组织间隙。处理原则为吸氧及抗感染。
注:摘自现代口腔医学杂志2007年第21卷第3期
--------------------------------------------------------------------------------
下颌第一磨牙近中三根管1例
黎远皋,王继朝,王 洪
北京大学第三医院口腔科,北京(100083)
1 病例报告
患者女,23岁,因右下后牙充填物脱落来我院就诊。2年前由于牙痛在其他医院进行牙髓治疗,具体治疗方法不
详,现充填物脱落,食物嵌塞来我院求治。检查:右下第一磨牙远中大面积龋坏,充填物脱落,髓腔暴露,牙无松动,叩诊(+),X线片显示近中根周膜及根分歧低密度透射影像,牙槽骨无明显吸收。诊断:慢性根尖周炎。治疗方法:右下第一磨牙去净腐质及残余充填物,揭全髓顶,备洞,建立髓腔入口,用探针探到5个根管口,近中3个,远中2个。1#-3#GG钻扩大根管口,10#及15#根管锉探入根管通路,电子根尖定位仪确定根管工作长度,机用镍钛锉逐步深入法根管预备,根管冲洗消毒干燥后,CORTISMOL糊剂+牙胶尖侧压法充填,丁香油氧化锌封洞;摄牙片。2周后桩核冠修复。
2 讨 论
由于根管系统的复杂性及变异性,临床上遗漏根管是导致根管治疗失败的原因之一。下颌第一磨牙通常有3~4个根管,即近中2个根管,远中1或2个根管,而近中3个根管临床上少见(图1)。本病例下颌第一磨牙近中根管沟较深,在近中颊根与近中舌根之间用探针仔细探查,发现的近中第三根管(亦称MM根管)位于近中颊(MB)与近中舌(ML)之间,其根管形态与长度基本正常,可进行完善的根管充填。提示下颌第一磨牙近中根管有一定的变异性。
注:摘自 口腔医学2007年10月(第27卷第10期)
--------------------------------------------------------------------------------
上颌第一前磨牙三根管1例
陈晓红,李伟力,王林茹
北京大学第三医院口腔科,北京(100083)
1 病例报告
患者男,50岁,主诉右上后牙冷热刺激痛1个月余,临床检查发现右侧上颌第一前磨牙颊侧牙颈部深龋洞,探痛(+),冷热刺激痛,叩痛(±),无松动,牙龈、牙冠形态正常,诊断为14慢性牙髓炎,拟行牙髓失活加根管治疗术。根管预备时发现该牙共有颊侧2个、腭侧1个共3个根管,根管型为3-3-3;舌侧根管较为粗大且直,颊侧二根管细弯但尚通畅,电子根尖定位仪确定工作长度分别为:腭根20.0 mm ,近颊根18.0 mm,远颊根18.2 mm,常规根管预备后一次法根管充填,治疗后无明显根充反应,症状消失无不适。
2 讨 论
上颌第一前磨牙根管系统以双根管多见,单根管较少,偶有3个根管者,其根管大多畸形或欠通畅。本例中3个根管形态、长度基本正常,均可进行完善根管治疗,提示上颌第一前磨牙根管系统的复杂性。本例颊侧2个根管口相距较近,方向稍向近中或远中,如不注意可能遗漏。除根管方向与牙长轴不一致值得注意外,异常的根面沟也提示根管数目的异常,本例牙颈部可探及牙根颊面正中有一明显的根面沟,与上颌第一磨牙相似。
注:摘自 口腔医学2006年2月(第26卷第1期)