专业介绍

牙体牙髓专业——诊治范围

发布时间:2023-09-09    点击数:


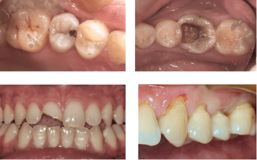
牙体牙髓专业号主要诊治范围是牙体硬组织疾病,也就是牙齿本身的疾病,包括龋病、非龋性牙体损伤、牙齿发育异常、牙髓疾病和根尖周疾病。牙体牙髓疾病的治疗是使用专门的设备和器械,通过手术和药物治疗,去除病变组织,终止疾病进展,促进患病组织的愈合,并且用人工材料修复缺损的牙齿形态,恢复咀嚼、美观和语言功能,提高患者健康水平和生活质量。

当您发现牙齿有缺损、牙齿变色,伴或不伴有疼痛时,都可以挂我科的牙体牙髓专业号进行诊治,接诊医生会根据牙齿所患疾病,通过补牙、根管治疗等方法进行治疗。

 

分享

推荐新闻

地址:北京海淀区花园北路49号    邮编:100191

联系电话:010-82266699     E-mail:bysy@bjmu.edu.cn

Copyright © 2022 北京大学第三医院    京ICP备05082115号-2