专业介绍

当前位置: 首页 > 专业介绍 > 牙周专业

典型慢性牙周炎病例

发布时间:2008-07-30    点击数:

李峥

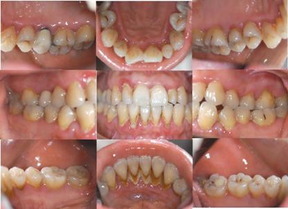
患者,女,43岁。近5年来,刷牙及咬硬物出血频繁,量中可自行停止。自述偶有牙龈肿痛史,否认明显牙齿移位及咀嚼无力症状,有轻度下前牙松动、口腔异味及食物嵌塞症状。无吸烟史。每天刷牙1-2次,无牙线使用习惯。

临床检查:

  • 口腔卫生状况:极差;大量菌斑、软垢,龈下牙石、色素(+++)

  • 牙龈炎症: 全口牙龈普遍色红,质地软,牙间乳头肿胀明显,尤以上、下前牙区为剧;全口BI3-4

  • 探诊检查:全口PD3-8mm,AL4-5mm

  • X检查:26水平+角形吸收至近颊根中1/2,根分叉处可见1×2mm模糊透影区;43-33、12-22牙槽骨水平吸收至根中1/2

诊断:慢性牙周炎

治疗设计:

  1. 强化口腔卫生,建议使用牙线

  2. 龈上洁治;≥4mm位点龈下刮治+根面平整

  3. 酌情牙周手术

  4. 牙周维护治疗

治疗后评价:

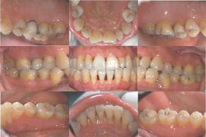
本例为典型重度慢性牙周炎,具有明确的菌斑作为始动因素,全口牙周袋深度3-8mm,附着丧失4-5mm。经过1年的牙周系统治疗,疗效佳:牙龈红肿痊愈,牙周深袋除个别位点外均恢复到3mm以内。需要指出的是,对较深的牙周袋,在牙龈炎症消除后,牙龈可有一定程度的退缩,导致牙根暴露,在治疗初期会有冷热敏感不适,需要患者逐渐适应。

治疗前口内相

基础治疗后一年口内

治疗前牙周检查表

基础治疗一年后牙周检查表

分享

推荐新闻

地址:北京海淀区花园北路49号    邮编:100191

联系电话:010-82266699     E-mail:bysy@bjmu.edu.cn

Copyright © 2022 北京大学第三医院    京ICP备05082115号-2