专业介绍

当前位置: 首页 > 专业介绍 > 牙周专业

慢性牙周炎伴药物性牙龈增生病例

发布时间:2008-07-30    点击数:

李峥

患者,女,63岁。十余年来刷牙出血明显,伴上后牙松动及咀嚼无力症状。半年前更换降压药,服用“非洛地平片”(1片/天)及“新达苏”(1片/天)后,上述症状加重。四月前加服“倍他乐克”及“络活喜”(1片/天)后,病情继续进展,并于2月前出现右下前牙牙龈肿胀伴松动症状。

临床检查:

  • 口腔卫生状况:差,大量菌斑、软垢,龈下牙石(+++)

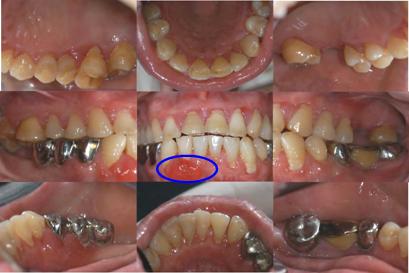
  • 牙龈炎症: 43-41唇侧附着龈波及牙间乳头可见15×10mm深红色椭圆形肿胀,BI4;其它上下前牙及后牙区可见程度相对较轻牙间乳头肿胀,质软,BI3-4

  • 探诊检查:42颊侧中央PD8mm,余位点5-7mm ;25远中PD10mm,松III°,AL>10mm ; 余后牙邻面PD5-8mm,AL>5mm,FI1-2;上前牙PD4-8mm,AL3-4mm

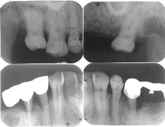
  • X片示:25远中牙槽骨角形吸收至根尖,35-37远中牙槽骨角形吸收至根尖1/3区,45-44邻面牙槽骨角形吸收至根中1/2,17-16远中邻面牙槽骨水平吸收至根中1/2,上前牙牙槽骨水平吸收至颈1/3-中1/2

诊断:

  1. 慢性牙周炎

  2. 43-41药物性牙龈增生

治疗设计:

  1. 强化口腔卫生

  2. 龈上洁治,≥4mm位点龈下刮治+根面平整

  3. 酌情手术

  4. 酌情换非钙离子拮抗剂类抗压药

  5. 牙周维护治疗

治疗后评价:

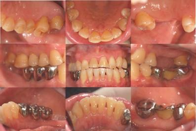
本例为前牙区药物性牙龈增生伴后牙区重度牙周炎,经过牙周基础治疗和两次间隔期在2-4个月的维护治疗后,前牙15×10mm的牙龈增生肿胀消失痊愈;全口4-8mm的牙周袋均减少至3-4mm以内;后牙区多个位点的角形骨吸收得到显著再生恢复;结合患者有效的自我菌斑控制,远期疗效佳。

治疗前口内相

治疗后一年口内相

治疗前牙周检查表

基础治疗一年后牙周检查表

治疗前根尖片

基础治疗一年后根尖片

分享

推荐新闻

地址:北京海淀区花园北路49号    邮编:100191

联系电话:010-82266699     E-mail:bysy@bjmu.edu.cn

Copyright © 2022 北京大学第三医院    京ICP备05082115号-2