根管治疗术是治疗牙髓病和根尖周病最有效的方法。它的过程是使用根管治疗器械配合化学消毒药物,彻底的清除根管内感染或坏死的牙髓组织及其它感染物质;用药物严密封闭根管系统,杜绝根尖与外界的相通,促进根尖病变的愈合。由于牙齿的根管系统十分复杂,完全严密的封闭根管有时相当困难,因此根管治疗牙髓病和根尖周病存在一定的失败率,如果失败可酌情考虑进行根尖手术。
根管治疗一般需要3-5次复诊才能完成,治疗过程中出现下述一些反应不可完全避免,希望患者理解和配合。
第一步:杀牙神经,需要7-10天,会有轻度疼痛,一般会逐渐消失,但也有人感到疼痛剧烈,可服用止痛片缓解疼痛。
第二步:根管扩大和消毒,需封药一周左右,治疗本身由于器械和药物刺激,有可能诱发急性炎症引起疼痛,可服用消炎止痛药。若疼痛剧烈,应及时就诊。
第三步:向根管内充填药物,根管充填后有可能再次出现疼痛甚至肿胀,一般可渐渐缓解,重者可服消炎药。
根管治疗术后牙齿会因为失去血液供应而变脆,或缺损过大无法进行充填,须行全冠或桩核全冠修复,这是长时间保存患牙的重要步骤,不容忽视。
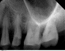
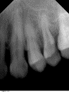
在根管治疗中,由于根管形态复杂异常如根尖狭窄或弯曲及治疗器械金属疲劳,手术器械有可能在根管内折断。折断部位位于根管弯曲上部时可用超声器械将其取出;若折断器械位于根管弯曲部下方或根尖部,为避免造成牙体组织的过度损伤,不必强行取出。可采用其他器械从折断部位旁通过到达根尖部的方法完成根管治疗。折断器械位于根管内未取出,对全身系统健康无任何影响。
