口腔科普

当前位置: 首页 > 口腔科普 > 疾病科普

临床常用充填材料介绍

发布时间:2008-07-27    点击数:

银汞合金:主要优点是操作简便、价格便宜和良好的耐磨性能;但是其美观性差,与牙齿无粘接,

需要磨除较多的牙体组织来保证充填体的固位。

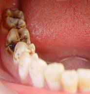
龋齿

银汞修复材料修复

复合树脂:目前牙体充填修复的主要选择。具有与天然牙齿相媲美的美观和色泽,可与牙齿组织粘接,无需磨除过多牙体组织,采用光固化方式便于操作和修整。具有超微填料型复合树脂耐磨性能和强度可用于后牙充填修复治疗。缺点是强度欠佳,过薄时异折断,老化后颜色变暗。

前牙切角缺损

分享

推荐新闻

地址:北京海淀区花园北路49号    邮编:100191

联系电话:010-82266699     E-mail:bysy@bjmu.edu.cn

Copyright © 2022 北京大学第三医院    京ICP备05082115号-2