牙体牙髓疾病包括龋病及其并发的牙髓病和根尖周病、非龋性牙体损伤、牙齿发育异常和牙外伤。该类疾病是口腔科就诊率最高的病种
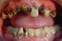
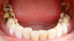
龋病 是牙体牙髓疾病中发病率最高的疾病,世界卫生组织将其列为肿瘤和心血管病之后的第三大疾病。它是与饮食有关的细菌感染性疾病,好发于各年龄段。早期患者本人无症状或是牙齿变黑、有明显缺损、食物嵌塞或遇冷遇热敏感。牙体硬组织受病原侵袭后发生进行性破坏,不能自愈,须及时到医院就诊进行充填治疗。
牙髓病和根尖周病 多由龋病治疗不及时,感染波及牙髓和根尖周组织引起,最主要的症状是各种形式的牙齿疼痛。急性牙髓炎发作时为持续的剧烈疼痛,疼痛不能定位,向太阳穴或耳后部放射,患者往往感觉到偏头痛,夜间痛,冷热刺激可激发或加重疼痛,严重时不敢咬食物。严重的根尖周组织感染如不及时控制可继发颌面部的严重感染,甚至危及生命。

楔状缺损 是最常见的非龋性牙体硬组织疾病,临床上表现为牙齿颈部深沟状损害,多由长期不正确的横向刷牙造成,也于咬合创伤有关。
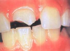
牙外伤 多发生于上前牙,造成牙齿冠折、移位或脱出,严重影响美观。一旦发生牙齿全脱出应尽快将完整的牙齿保存于生理盐水、牛奶或唾液中,及时到医院就诊,切忌用水冲洗和刮擦牙齿表面。


牙体牙髓疾病的危害性不可低估,不经治疗不能自行修复,最终可导致牙齿丧失,造成咀嚼器官永久性破坏,并严重影响人体消化功能、全身健康和社交活动。其中牙髓病和根尖周病会给患者带来剧烈的疼痛,如果不能得到及时治疗可以引起根尖周组织、颌骨及邻近组织的损害,形成的慢性根尖炎还可能作为病灶引起全身其他器官的感染。