牙周疾病指发生于牙齿支持组织(包括牙龈、牙周膜、牙槽骨和牙骨质)的细菌感染性疾病,包括牙龈炎和牙周炎。牙周疾病是人类最常见的口腔疾病之一,在人群中的患病率高达70~90%,目前拔牙患者中有30~40%是牙周炎引起的。
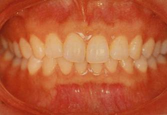
牙龈色泽淡粉,坚韧而富有弹性,不出血;牙槽骨无吸收,牙齿不松动

口腔卫生不良、内分泌改变、口呼吸、局部刺激因素、药物等
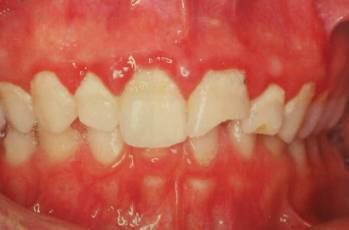
牙龈红肿、刷牙或咬硬物易出血、牙槽骨无吸收、牙齿不松动
炎症长期未控制、吸烟、全身疾病、精神压力、遗传因素等
牙周炎常起始于牙龈炎,除牙龈炎症外还伴有牙槽骨的破坏吸收,
早期症状可能不明显、牙龈红肿、刷牙易出血、牙槽骨吸收破坏、随病变发展逐渐出现牙齿松动移位、可伴有口臭