全冠:覆盖全部牙齿表面,用于根管治疗后的牙体部分缺损的患者。
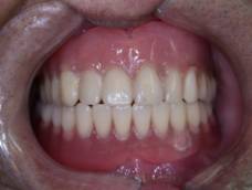
根据材料分:铸造金属全冠、 烤瓷熔附金属全冠、 全瓷冠
桩冠:是利用插入根管内的桩来获得固位的一种牙体大面积缺损的修复体,分桩核和外冠两部分结构。使严重缺损的残根和残冠得以保留。
利用缺失牙两端或一端的天然牙,在其上制作固位体,连接义齿恢复缺失牙解剖形态和生理功能。具有美观、舒适、咀嚼功能良好的特点。

利用真牙和基托覆盖的粘膜及骨组织作为支持、患者可以自行摘戴的用于牙列缺损的修复体。

全口义齿:修复全口牙缺失,靠义齿基托与粘膜的紧密结合以及义齿边缘封闭而产生的大气压力和吸附力吸附在口腔粘膜上。
