典型病例

当前位置: 首页 > 典型病例 > 正文

颅内巨大脑膜瘤

发布时间:2008-07-29    点击数:

病例1-颅内巨大脑膜瘤

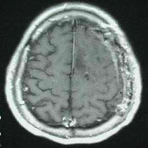
女性,65岁,因右半身轻偏瘫1个月入院。查MRI示:左顶叶窦镰旁脑膜瘤。如下:

术前照片

行显微手术切除肿瘤,simpsonII级全切除。术后照片如下,术后病人偏瘫缓解。

术后照片

专家点评:脑膜瘤是颅内常见良性肿瘤,多发生于窦镰旁,嵌入脑内生长,可引起癫痫发作和局灶压迫症状,显微手术全切除效果好。

分享

地址:北京海淀区花园北路49号  邮编:100191
联系电话:010-82266699  E-mail:bysy@bjmu.edu.cn

Copyright © 2022 北京大学第三医院    京ICP备05082115号-2