典型病例

当前位置: 首页 > 典型病例 > 正文

右颞深部胶质瘤

发布时间:2008-07-29    点击数:

右颞深部胶质瘤

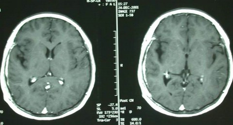
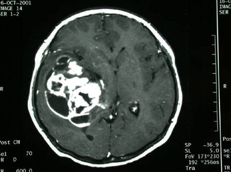
男性,40岁,主因,癫痫发作入院,查MRI示:右颞胶质瘤。

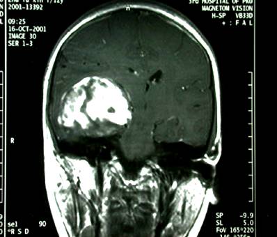
术前影像

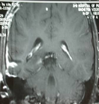
术后复查

分享

地址:北京海淀区花园北路49号  邮编:100191
联系电话:010-82266699  E-mail:bysy@bjmu.edu.cn

Copyright © 2022 北京大学第三医院    京ICP备05082115号-2