典型病例

当前位置: 首页 > 典型病例 > 正文

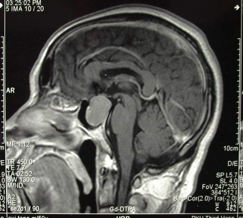
巨大垂体腺瘤

发布时间:2008-07-29    点击数:

巨大垂体腺瘤

男性,60岁,主因双眼视力下降2个月入院,查MRI示:鞍区巨大占位。

诊断考虑垂体腺瘤。行经鼻蝶手术,全切肿瘤,术后复查如下:

分享

地址:北京海淀区花园北路49号  邮编:100191
联系电话:010-82266699  E-mail:bysy@bjmu.edu.cn

Copyright © 2022 北京大学第三医院    京ICP备05082115号-2