典型病例

当前位置: 首页 > 典型病例 > 正文

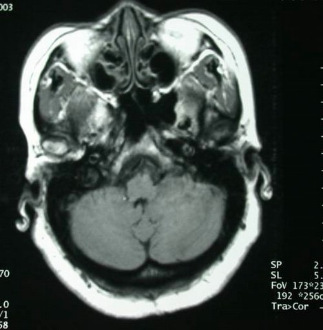
四脑室间变性室管膜瘤

发布时间:2008-07-29    点击数:

四脑室间变性室管膜瘤

男性,20岁,因头痛,伴剧烈恶心、呕吐3天入院。查MRI提示四脑室占位病变。如下:

行显微手术治疗。全切肿瘤。术后图片如下:

.

分享

地址:北京海淀区花园北路49号  邮编:100191
联系电话:010-82266699  E-mail:bysy@bjmu.edu.cn

Copyright © 2022 北京大学第三医院    京ICP备05082115号-2