北医三院胸外科、耳鼻喉科、麻醉科、危重医学科顺利完成本院首例急危重症颈部、纵隔脓肿联合手术
上周五(2024年1月12日星期五),胸外科、耳鼻喉科、麻醉科、危重医学科强强联合,完成了北京大学第三医院第一例颈部、纵隔脓肿联合手术,为该类危重症患者提供了生的希望。
颈深部间隙感染是相对罕见的颈部感染性疾病,常见的诱因包括:拔牙、口咽感染、中耳炎、鼻窦炎等,常常伴有颈咽痛、张口困难、呼吸困难、发热等症状。治疗上,通常需要使用抗生素,尽早去除感染的来源的同时,尽快将脓液引出体外。

然而,因为颈部后方脊柱的前方,有“危险间隙”的存在,颈部感染产生的脓肿可在重力的作用下,向下流入左右两肺之间的纵隔区域,产生纵隔脓肿、纵隔炎、肺炎,甚至感染中毒性休克。这是颈部感染患者非常严重的并发症。即使在抗感染手段较多的今天,死亡率仍高达50%,非常凶险,属急危重症。
日前,北医三院耳鼻喉科收治了这样一名颈深间隙感染伴纵隔炎的患者。患者超重,血糖控制不佳,合并糖尿病酮症、肺炎、高血压、陈旧性脑梗。收治之时,患者咽痛、颈部肿痛已10日,入院前,患者的颈部已经进行了切开引流,但仍不足以控制感染。而且,严重的脓肿引起了急性呼吸窘迫综合征(ARDS),生命危在旦夕。面对急危重症病人,我院进行了气管插管后转入危重医学科进一步治疗。


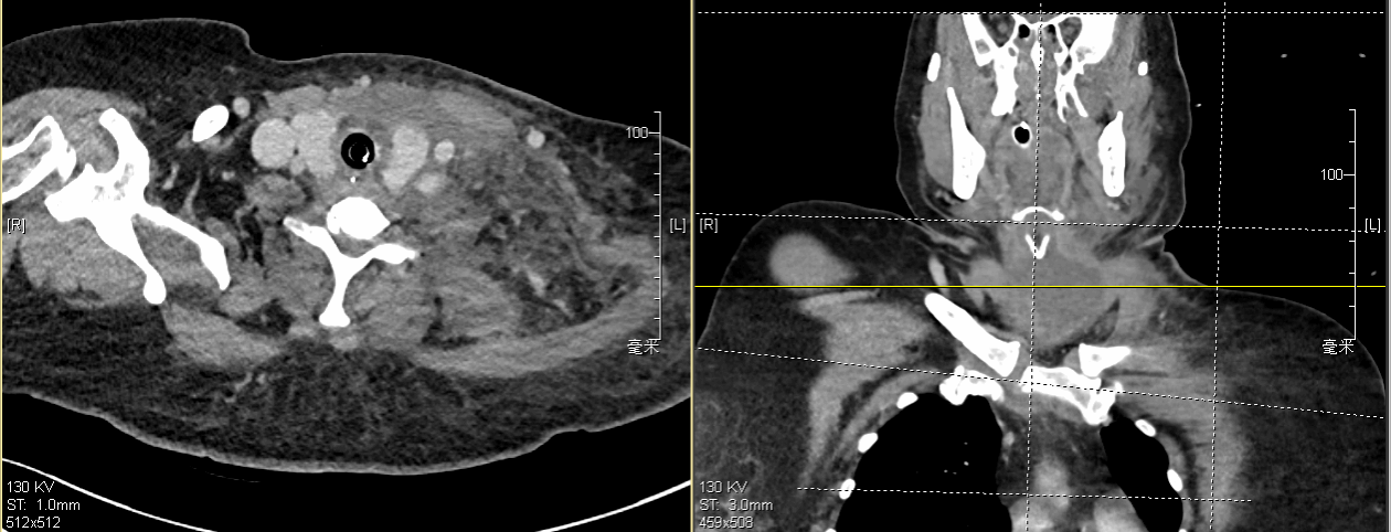
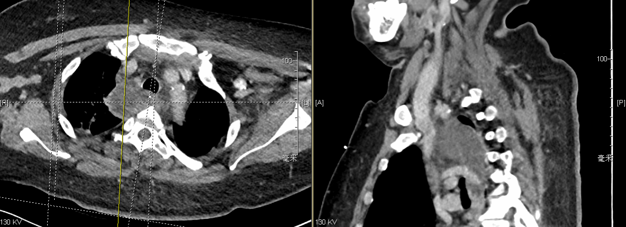
图为患者CT
入院后,经过全院联合会诊,耳鼻喉科、胸外科、麻醉科、危重医学科、伤口治疗中心的专家们商议后,当机立断,选择紧急为患者进行外科手术,切开脓肿,通畅引流,挽救生命。
胸外科手术常需要使用双腔气管插管进行单肺通气,从而保障手术视野完成手术。因患者气管受脓肿压迫狭窄、气管内水肿等原因,麻醉科医生术前便预见到了进行双腔气管插管可能会遇到的困难。经验丰富的麻醉科李刚副主任医师、蔡海河副主任医师、王甜甜主治医师齐心协力,根据术前制定的方案,变通地使用了气管封堵器成功为患者进行了单肺通气,保障了胸外科手术的顺利进行。

图为三名麻醉医师进行气管封堵器操作
北京大学第三医院于1986年,在新中国第一批公派访美成员——周冠汉教授的带领下,成立了胸心外科专业组。1991年,胸心外科独立建科,成为了国内第一批开展胸腔镜微创手术业务的单位之一。目前,胸外科配套有完善的先进微创手术体系、高水准的多学科诊疗MDT团队、加速康复外科示范病房、肿瘤中心一站式服务体系等。
纵隔感染患者胸腔内常存在胸腔感染、脓胸、术中粘连,手术难度大,易导致术中损伤。胸外科常务副主任强光亮主任凭借多年的临床经验,和娴熟、细腻的手术操作技巧,巧妙地利用单操作孔胸腔镜微创手术技术,松解术中粘连,在保护重要脏器、血管的前提下,精准暴露了纵隔区域,将纵隔脓肿彻底切开,通畅引流,并另制作合理切口放置胸腔引流管,完成了北医三院首例纵隔脓肿切开引流术,为患者纵隔感染的消退创造了机会。

图为强光亮团队进行微创手术

图为患者纵隔巨大脓肿及周围粘连(已黑白处理)

图为患者术后切口及引流情况
紧接着上台手术的是耳鼻喉科手术团队。北医三院耳鼻喉科作为北大系统唯一的耳鼻喉科专业的全国重点学科,具备丰富的急危重症诊治经验。手术前科主任闫燕教授多次组织科内资深专家讨论患者病情并积极推动多学科合作,委派李涛副主任医师作为本次手术的主刀医生。
由于颈部结构复杂,尤其是颈部大动静脉一旦损伤会出现致命性的后果,并且本患者颈部短粗并伴发严重感染,术中视野的暴露存在难度。在术中,经验丰富的李主任面对感染严重的颈部区域,在组织、结构因炎症粘连而分界不清的情况下,小心游离,仔细止血,在保护好颈部重要结构的同时充分打开了感染区域,使得感染灶得到了充分的引流,术后转入危重医学科继续治疗。

上图为李涛主任团队在为患者进行颈部手术
北医三院多科室协同完成的这例手术,成功地以最小的创伤为患者带来最好的疗效和最大的受益。再次展示出了北医三院多学科团队丰富的经验、卓越的技术,彰显了责任与担当。面对较高的手术风险,医生们以精湛的技艺和坚定的信念,成功地为高死亡率患者带来了生的希望。这是北医三院团队精神的完美体现,也是医学科技进步的生动见证。
参考文献
Heim, Martini, 2019, Clin Oral Investig[IF:3.4, PMID:30623306]
Abu-Omar, Cardillo, 2017, Eur J Cardiothorac Surg[IF:3.4, PMID:28077503]
Daya, Blaser, 2005, Int J Pediatr Otorhinolaryngol[IF:1.5, PMID:15627452]
Chen, Lee, 2008, J Thorac Cardiovasc Surg[IF:6.0, PMID:18603075]
Brook, Frazier, 1996, Arch Intern Med[, PMID:8572845]