极致微创!
北医三院胸外科完成北京首例
纯单孔机器人辅助肺叶切除术
2024年2月1日,北京地区首例纯单孔机器人辅助肺叶切除术在北医三院完成。该手术由北医三院胸外科强光亮专家团队主刀,采用达芬奇Xi机器人手术系统,全程通过纯单孔操作进行,将精准外科与微创外科理念的融合推向了新的高度。
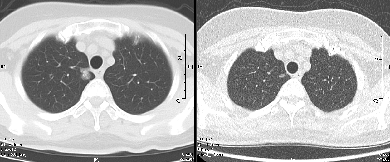
“主任,您快看看我的这个肺肿瘤,是不是没救了?如果做手术,能否尽可能微创?”2024年1月,满面愁容和焦虑的韩女士慕名来到北医三院胸外科强光亮主任的专家门诊。60岁的韩女士患有肺部结节5年,2周前复查胸部CT,发现了右肺上叶一个15mm的部分实性结节较前明显增大。

韩女士2024年(左)与2019年(右)胸部CT对比
“您放心,咱们可以尝试打1个孔,用手术机器人帮您根除它,这可能是最微创、最精准的办法。”强主任看完胸部CT后,和蔼地说道。经过了几周的观察,复查胸部CT排除炎症等疾病后,患者住进了北医三院胸外科的病房。
韩女士入住胸外科后,经过详细评估,肿瘤并没有其他部位的转移,接受手术将有望得到根治。传统胸腔镜微创手术已经可以常规使用1-2个小切口完成,但手术效果更好、操作更精准的达芬奇Xi机器人手术却一般需要3-4个小切口才能完成,更加精准与更加微创之间存在着一些矛盾。在经过充足的准备与沟通后,胸外科强光亮主任团队当即决定,使用纯单孔机器人手术为患者完成这一例肺癌根治手术,做到极致的精准和微创。
在楔形切除的冰冻病理证实患者患有浸润性肺腺癌后,强光亮主任手术团队开始实施纯单孔达芬奇机器人手术。在手术台上,强光亮主任操作精巧,马善吴、汤继征医生与主刀医生精准配合。林楚童医生则根据前期的探索经验,协助进行机械臂的合理安装,解决机械臂单孔操作下互相妨碍的问题。

纯单孔机器人肺手术的打孔及操作方式

完成北京地区首例纯单孔机器人肺叶切除术后的强主任

强光亮主任(右一)、马善吴医生(右三)、汤继征医生(右二)
在配合进行纯单孔机器人手术



纯单孔机器人肺叶切除术中灵活操作录像剪影

纯单孔机器人肺叶切除术(左)对比常规四孔机器人手术(右)切口及引流管照片

在机器人手术团队的通力配合下,历时105分钟,北京地区首例纯单孔机器人肺叶切除+淋巴结清扫术,顺利完成。经过3天左右的术后康复,患者顺利拔管出院,恢复良好。
这台开创性的手术并非异想天开。
根据2024年2月国家癌症中心发布的最新统计数据,我国肺癌发病率位居肿瘤发病率榜首,早期肺癌病人的治疗依赖微创手术。
手术机器人最早于1985年应用于临床,在手术视野、操作自由度与精细化、手术效果与安全性等方面相比传统胸腔镜微创手术具有优势。为了将精准外科与微创外科的理念融合,探索单孔机器人胸外科手术,2023年的冬天北医三院胸外科派遣林楚童、宁英泽医生,前往已有单孔机器人手术经验的单位进行交流学习。回到科室后,两位医生将相关经验制成三维模型,模拟机器人装机及手术操作。

三维建模模拟进行装机及手术操作

上海地区单孔机器人手术经验
于是,在前文中提到的韩女士就诊之前,同样有肺部结节的周女士早一周住进了胸外科,准备接受机器人肺段切除手术。与患者商议后,北医三院胸外科决定率先尝试2孔机器人肺段切除+淋巴结清扫手术(左肺下叶前内基底段)。
单孔操作讲究器械合理交叉避免互相妨碍,用手术机器人实现器械合理交叉存在难度。手术过程中,强光亮主任、马善吴、金亮、林楚童、任鹏医师集思广益,经过了多重探索,结合既往经验,创造性地使用达芬奇手术机器人的数字控制台完成左右手控制权的交换实现更为便捷、合理地完成了器械的体外交叉。最终,通过将观察镜、机器人双手器械经一个切口置入患者胸腔,台上助手通过另一切口置入辅助器械的方式,团队完成了两孔机器人肺段切除手术。

两孔机器人手术的打孔及操作方式

强光亮主任(左一)马善吴医生(右一)合作完成手术
这是北京地区首例两孔机器人肺段切除手术。最终周女士顺利在术后第3天拔管出院。也正是这例手术的成功经验,才造就了开篇介绍的北京地区首例纯单孔机器人肺叶切除手术的成功实施。
这两例开创性手术的成功,离不开强光亮团队精湛的机器人手术技术和各辅助科室的大力支持。更重要的是,唯有不断探索创新,才能不辜负生命重托,为患者提供更精准、更微创、更舒适、更优质的外科诊疗服务。
北京大学第三医院胸外科拥有38年的历史,是国内第一批开展胸腔镜微创手术业务的单位之一。
北医三院胸外科是最早开展先进机器人微创手术的单位之一,手术机器人技术处于北京市领先水平。在上任科主任马少华主任的成功开拓下,北医三院胸外科手术机器人技术全面发展,是北京地区胸外科第一个达芬奇机器人手术过百例的单位,成为科室特色。
在著名胸外科专家强光亮主任的带领下,目前科室拥有达芬奇手术机器人注册主刀医生3名,注册助手5名,开展的机器人手术方式几乎涵盖了所有胸部外科的主流手术业务,以及一些颇具难度的复杂手术。借助手术机器人,胸外科可以在完整切除肿瘤的同时,最大程度地减少损伤,并在一定程度上减少开胸的可能。
在不远的将来,新一代达芬奇手术机器人SP系统即将落地,其在单孔微创手术方面具备额外优势。目前北医三院胸外科对达芬奇手术机器人Xi系统单孔手术的有益探索,无疑将为未来的达芬奇SP手术机器人系统做好充足的准备,为更多患者带来更加微创、精准的医疗服务。
作者:胸外科林楚童主治医师 联系电话:33967
科室审核人:胸外科强光亮副主任医师
医务处审核人: