
[骨髓象]
1.增生活跃或明显活跃。
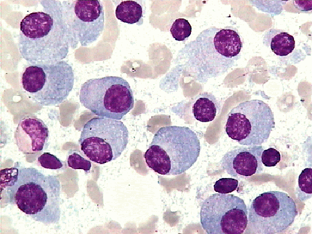
2.浆细胞系异常增生,病理性浆细胞(骨髓瘤细胞)占0.10—O.90或更高。瘤细
胞体积大小不一,常数个成堆。因细胞分化程度不同而形态各异,有的与一般浆细胞相似,有的近似组织细胞,但多数具有幼稚或原始浆细胞的特征。胞核圆形或椭圆形,常偏于细胞一侧,染色质呈粗网状,含l一2个核仁,有时可见双核或多核。胞浆丰富,深蓝色或灰蓝色,内含少许深红色颗粒,有的可含空泡或其他包含体,如Russell小体等。
3.粒细胞系及红细胞系一般无特殊变化,但骨髓瘤细胞明显增多时,粒、红两系则可相应减少。
4.巨核细胞系早期大致正常,晚期减少。