近日,北医三院眼科中心救治了1名车祸眼球破裂伤的患者。眼科与全院多个学科倾力协作,使患者得到了全面治疗,截至2022年11月5日20:30,患者完成了眼部手术,获得了满意的效果。 2022年10月31日,由于驾驶摩托车发生车祸,患者就诊于北京市999急救中心,诊断为“开放性颅脑外伤,颅骨开放性粉碎性骨折,脑挫裂伤,左眼球破裂、失明,左眼多发性眶壁骨折,全身多发性软组织损伤”,紧急“全麻下行左额开颅凹陷粉碎骨片摘除术,左侧开颅显微镜下脑膜修补术,开放伤口清创缝合术”。术后于我院抢救室留观,眼科中心眼底病专科王常观主任收到会诊要求后积极指示救治,眼科于抢救室联合神经外科、成形科、麻醉科、危重医学科等多学科会诊,对患者眼部及全身情况进行了详细的讨论与评估后,拟收入眼科全麻下行眼球破裂伤的缝合探查手术。眼科中心紧急为患者开通了绿色通道,在急诊、住院部、核酸筛查中心、医务处的倾力配合下,于11月4日收治患者入院,并联合麻醉科、危重医学科、神经外科等多学科为患者生命安全及眼科进一步手术保驾护航。
患者左眼眼部伤势严重,为眼球破裂伤、眼眶壁骨折、黑朦,同时由于颅脑损伤,颅骨骨折处于开放状态,围手术期存在中枢系统感染、持续脑脊液漏、伤口愈合不良、脑挫裂伤加重、颅内出血的风险,严重时可脑疝甚至死亡。结合既往丰富的临床救治经验,王常观主任医师、陈慧瑾主任医师、余烁主治医师及住院医师紧急进行了详细的术前讨论,制定了具体的手术方法。患者于2022年11月4日晚18:00进入手术室,承担手术的主刀医生是具有丰富眼外伤救治经验的陈慧瑾主任医师,考虑到患者的特殊情况很难在短期内反复来眼科接受手术,陈慧瑾医师决定在探查修复巩膜伤口的同期进行眼内损伤的探查,术中发现裂伤严重、眼球塌陷,伤口位于眼球赤道后的深部巩膜,裂伤范围累及半个眼球,但经过1个多小时的精密缝合后,眼球可以恢复密闭状态,从而实现了同期进行玻璃体手术。虽然探查发现患者眼内结构损伤过于严重、视力恢复无望,但及时手术缝合伤口、清除积血、填充硅油,降低了眼内感染和眼球萎缩的风险。术后患者生命体征平稳,转入危重医学科继续监护治疗,预防感染、癫痫、对症治疗,待眼部术后稳定后神经外科组织与成型科、眼眶组专家一同进一步处理颅骨骨折及缺损处。
本次合并颅骨骨折、颅脑损伤的眼球破裂伤的综合救治,体现了北医三院眼科与多个科室间的协作精神,以及对复杂眼外伤的救治能力。

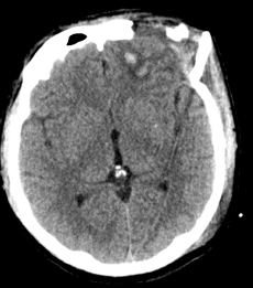
左额骨骨质缺损,额叶脑出血、挫裂伤

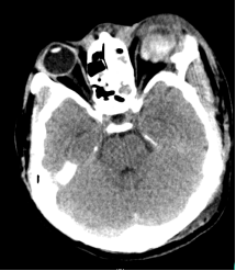
左眼眼球损伤,玻璃体积血,眼内结构混乱

术中完成一期缝合手术图像

术中完成一期眼内探查及硅油填充图像

陈慧瑾主任医师为患者进行手术
(撰稿:代锦岳)
附:眼底病专科简介

北医三院眼科中心眼底病专科致力于眼外伤、糖尿病视网膜病变、复杂视网膜脱离、黄斑病变等视网膜疾病的外科诊治,在马志中教授、王常观教授的带领下,重症眼外伤、复杂视网膜脱离、出血性年龄相关性黄斑病变等疑难眼底病的外科治疗达到世界先进水平,每年手术例数超3000例。
陈慧瑾 主任医师简介

出诊时间:周一、六上午,周三下午
陈慧瑾,医学博士,2003年毕业于北京大学医学部临床医学七年制专业,获得临床硕士学位;2006年毕业于北京大学医学部临床医学眼科学专业,获得临床博士学位,博士期间师从著名眼底病、眼外伤专家马志中教授。现任北京大学第三医院眼科眼底病专科副主任,主任医师。专业特长:各类玻璃体视网膜疾病的手术治疗,包括视网膜脱离、糖尿病视网膜病变、黄斑裂孔、黄斑前膜、黄斑变性的手术治疗,特别擅长重症眼外伤的手术治疗。主要研究方向:眼底病及眼外伤的手术治疗及基础研究。