超声造影是一项无创的医学影像学技术,被誉为超声发展史上的“第三次革命”,它借助于静脉注射微泡造影剂和超声造影谐波成像技术,能够清晰显示正常和病变器官组织的微细血管结构,大大增强了深部组织微血管和低速血流的显示,增加了图像的对比分辨率,因此可用于实时评估肝脏等脏器局灶性病变的血流灌注特征,大大提高了超声对局灶性病变诊断的敏感性、特异性和准确性。
超声造影显像技术与CT和MRI增强显像的最大区别是超声造影是纯血池造影显像,即造影剂微泡仅仅存在于血管内,微泡内的气体经肺呼出,代谢快,具有良好的安全性和耐受性。
适应症:1. 经常规超声检查发现的腹部及浅表脏器局部病灶,需要进一步了解病灶内部的微血管灌注状况,判断病灶可能的病理改变,为临床良恶性肿瘤的鉴别提供依据。2.腹部脏器经常规超声检查发现局部病灶但显示不清,需要通过超声造影进一步显示病灶的轮廓,包括其大小、形态,与周围脏器的关系,以及供血血管等。3.手术、介入或药物治疗过程中的监测及辅助诊断和疗效评估,肿瘤是否完全消失、有否残留及转移等。4.颈动脉内斑块性质的研究,通过斑块内的血供了解斑块的易损性。5.了解大血管内的血流动力学状况,评判是否存在狭窄、斑块、血栓形成和夹层等。
目前,随着超声造影剂的不断发展和造影技术的逐步成熟,超声造影已广泛应用于临床。

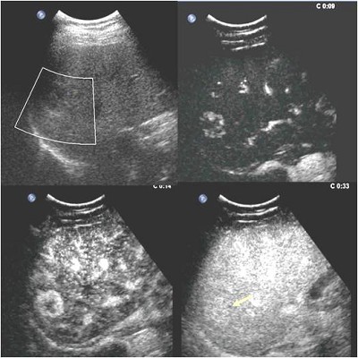
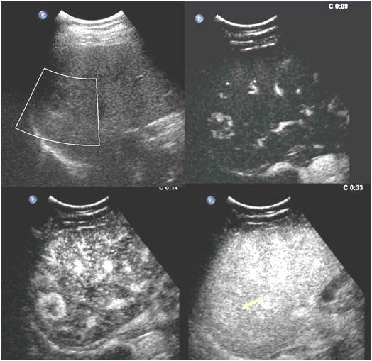
图1

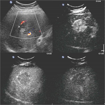
图2
图1和图2分别为两例肝脏占位性病变,仅凭二维和彩色多普勒超声无法定性,分别作了超声造影检查,根据病灶增强模式等超声造影特点,诊断出图1中的病灶为良性的血管瘤,临床上观察即可,而图2中的病灶为肝细胞癌,临床需要手术等治疗。