终末期肾病需要通过肾脏替代疗法进行治疗以维持生命,我国肾脏替代治疗患者数以每年11%以上的速度递增。目前血液透析是国内外使用的主要的替代疗法。年国家肾脏病医疗质量控制中心2016年总结报告中指出,据不完全统计,中国目前有200万尿毒症患者,其中在进行血液透析治疗的患者约40-50万,全年血液透析量超过5,000万人次。
自体动静脉内瘘(AVF)的使用极大地改善了肾衰患者的生活质量,它具有血流量大、透析效果好、使用寿命长、感染几率低等优势,因此在血液透析中具有重要意义。作为透析的主要血管通路,我国肾衰患者内瘘使用率已经高达80%以上。但是随着AVF使用的时间延长,相关的并发症也随之增加,严重者会导致内瘘无法使用而丧失宝贵的血管资源,正确地监测和评价AVF的生理状况对临床使用和并发症预防具有重要意义。
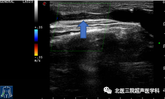
彩色多普勒超声不仅能够显示AVF血管管壁及管腔内的二维结构,而且能够为临床提供血流动力学参数,有助于临床评估血流速度及血流量,这是超声在影像学检查中具有的独特优势。超声不仅能够显示管腔内改变,而且可以发现管壁有无损伤破裂,管腔周围有无血肿、神经受压等改变,这是血管造影所不具备的。比较而言,彩色多普勒超声简单方便,能够迅速准确诊断出AVF狭窄、血栓、闭塞、通路相关型缺血综合征、高输出量心衰等相关并发症,因此《血液透析用血管通路专家共识(第二版)》推荐使用超声进行超声检查,日本透析学会也推荐物理检查异常时也要进行超声检查以便尽早发现相关的问题进行处理。

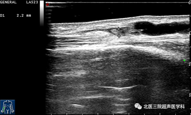
52岁男患,左前臂造瘘术后8年,触诊瘘口震颤减弱。超声证实头静脉近瘘口处严重狭窄

34岁男患,AVF3个月,近期开始穿刺,偶尔机器报警。超声证实头静脉主干闭塞。

头静脉瘤样扩张

瘘口周围血肿