近期,我科副主任医师付帅等人在超声杂志Journal of Ultrasound in Medicine上发表了论文High‐Resolution Ultrasound Imaging of Axillary Nerve and Relevant Injury,在此向大家介绍该研究的内容。
腋神经起源于臂丛的后束,其纤维来自第五和第六颈神经。它位于腋动脉和静脉的后方,沿着肩胛下肌的前面呈斜行走向。在肩胛下肌的下外缘向后弯曲,位于肩关节囊的下方,穿过四边孔,伴随着旋肱后动脉和静脉。行出四边孔后,腋神经环绕肱骨颈部,分为前支和后支,支配小圆肌和三角肌(图1)。

图1 腋神经由绿色表示。
腋神经损伤可能是由急性或慢性反复的创伤、压迫或各种骨科手术引起的,常发生在肩部的闭合性创伤之后,如肩关节脱位或肱骨近端骨折。在肩关节脱位后,神经病变的发生率高达65%,腋神经是这种情况下最常受累及的神经。尽管发生率较高,但腋神经损伤较少被诊断。其诊断主要基于病史、临床表现和肌电图,目前缺少能够作为参考标准的影像学方法。MRI能够识别腋神经损伤的病因,然而,在任何垂直方向的层面上对腋神经进行成像都很困难。此外,MRI还存在禁忌证(幽闭恐惧症、起搏器)、高成本、耗时等问题。因此,需要一种快速有效的方法来评估潜在的腋神经损伤。高分辨率超声(HRUS)能够提供更好的组织分辨率,用于识别表浅的细节结构,并有助于对小神经进行动态评估。下面就对腋神经的超声扫查切面进行讲解。
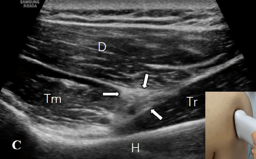
探头的位置根据三个解剖标志来确定:四边孔、肩胛下肌的前方和腋动脉的后方。1)四边孔:由上方的小圆肌、下方的大圆肌、内侧的肱三头肌长头和肱外侧的骨外科颈构成。在评估这个区域时,患者取坐位,肩部处于中立位置。探头沿纵向放置在肩胛骨的外缘和肩胛骨下角下方,以显示冈下肌和小圆肌的短轴切面(图2A)。探头沿着矢状面向外侧移动,直到出现肱三头肌长头腱(图2B)。在这一切面上,小圆肌位于肱三头肌长头的头侧和浅方,大圆肌位于足侧和深方。探头继续向外侧移动,直到出现肱骨干(图2C)。在此切面上,腋神经(AN)和旋肱后动脉位于由头侧的小圆肌(Tm)、足侧的肱三头肌长头(Tr)、浅方的三角肌(D)和深方的肱骨干围成的空间内。通过调整探头,可以更清楚地显示神经血管束(图2D)。

图2A:探头沿着矢状面放置在肩胛骨的外缘和肩胛骨下角下方,以显示冈下肌(InfraS)和小圆肌(Tm)的短轴。三角肌(D)位于冈下肌(InfraS)和小圆肌(Tm)的表面。

图2B:探头向外侧移动,直到出现肱三头肌长头腱(Tr)(图1B)。在这个水平上,小圆肌(Tm)位于肱三头肌长头的头侧和浅方,大圆肌(Tmj)位于足侧和深方。

图2C:探头继续向外侧移动,直到出现肱骨干(图1C)。在此切面上,腋神经(AN)和旋肱后动脉(白色箭之间)位于由头侧的小圆肌(Tm)、足侧的肱三头肌长头(Tr)、浅方的三角肌(D)和深方的肱骨干围成的空间内。

图2D:通过调整探头,可以更清楚地显示腋神经(向上箭)和旋肱后动脉(向下箭头)。
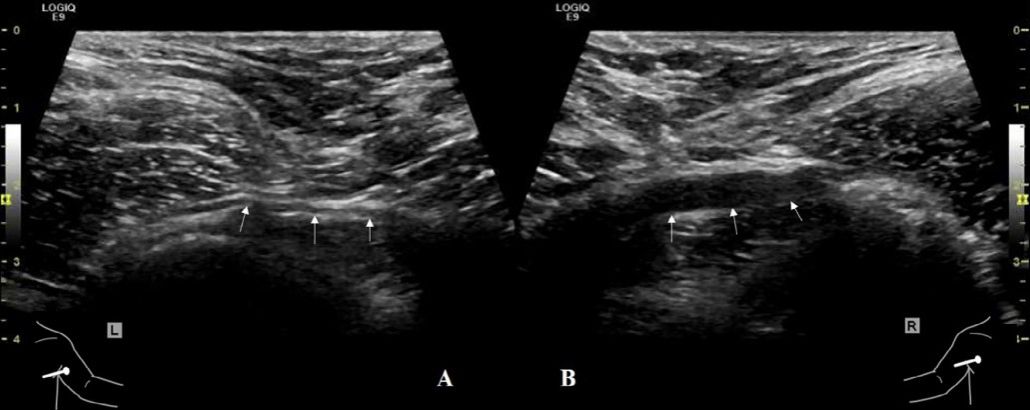
2)肩胛下肌的前方:患者平躺,肩部完全外展以暴露整个腋窝。探头水平放置在肱骨头上。观察到肩胛下肌位于肱骨头的上方,腋神经(AN)的短轴位于肩胛下肌和背阔肌之间,呈点状低回声(图3A)。旋转探头,显示腋神经在肩胛下肌表面的长轴切面,呈带样低回声(图3B)。

图3A:探头水平放置在肱骨头(HH)上。可见肩胛下肌(SubS)位于肱骨头上方。腋神经(AN)的短轴(箭头)在肩胛下肌(SubS)和背阔肌(LD)之间呈点状低回声。

图3B:旋转探头显示腋神经(AN)的长轴(白色箭),在肩胛下肌(SubS)表面呈低回声带。A,腋动脉;V,腋静脉
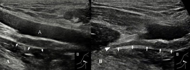
3) 腋动脉后方:探头沿腋神经向内侧移动至腋血管后方,有时可见腋神经由臂丛后束发出(图3C)。将探头与腋神经平行并轻调探头位置,可见旋肱后动脉位于腋神经旁,并可追溯至其起源于腋动脉(图3D)。

图3C:沿腋神经(AN)(白色向上箭)向内侧移动探头至腋动脉(A)和静脉(V)的后方。

图3D:轻调探头位置,可见后旋肱后动脉(PCA)位于腋神经(AN)(箭头)旁,可追溯至其起源于腋动脉。
和其他周围神经的损伤类似,腋神经损伤在超声上表现为弥漫性肿胀、局部增厚、中断或者创伤性神经瘤。患者常存在肩关节及上肢外伤的病史,或接受过肩关节手术。在慢性损伤的患者中,小圆肌和三角肌会出现萎缩的表现,即体积缩小,回声增强。绝大部分的腋神经损伤发生在起点至四边孔之间的区域。

病例1:患者34岁男性,右肩受伤,活动范围受限,持续2个月。A,左侧腋神经(箭头)正常。B,与正常侧相比,右侧腋神经(箭头)回声减低,弥漫性肿胀。


病例2:51岁女性在修复肩袖撕裂后出现右肩活动范围受限,持续2个月。A,左侧三角肌(D)正常。B,右侧三角肌(D)萎缩,回声增强。C,右侧腋神经(箭头)回声减低,弥漫性肿胀。D,彩色多普勒超声显示伴随的旋肱后动脉(A)和静脉(V)。

病例3:21岁女性右肩关节向前脱位。A,腋神经(箭头)位于腋动脉(A)的后方,明显增厚。B,神经完全断裂,断端挛缩(箭头)。

病例4:53岁女性左肩关节反复脱位,关节镜复位后左肩无力,持续3个月。A,三角肌(D)萎缩,回声增强。B,腋神经(箭头)位于腋动脉(A)的后方,神经的连续性中断(箭头)。