典型病例分享

当前位置: 首页 > 典型病例分享 > 正文

典型病例一

发布时间:2013-03-07    点击数:

?

患者,男,20岁

?主诉:尿频、尿痛2周就诊

?

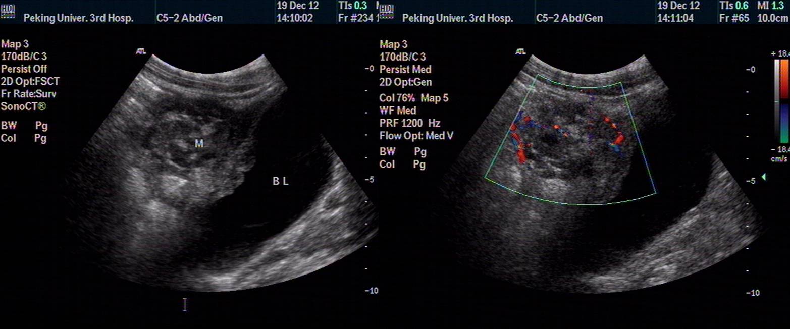
2012.11.22 US:膀胱上方可见大小约5.9*4.9cm不均质中低回声,边界不清,其内可见团块状强回声,CDI:内可见少量血流信号,吸气时该包块与腹壁粘连。下腹部肠间可见少量积液。

典型病例一

典型病例一

?

2012.12.19 US复查,同前。

?

2012.12.20 超声引导下穿刺。

穿刺病理结果:平滑肌组织间大量以淋巴细胞及浆细胞为主的慢性炎症细胞浸润,炎性假瘤可能性大。

讨论:炎性假瘤?属非特异性增生性炎, 表现为纤维结缔组织、血管、上皮细胞和实质细胞增生及淋巴细胞、浆细胞、单核细胞等炎症细胞浸润; 好发于肺、眼眶、肝、脾等处, 起始于腹腔内或腹膜后者罕见; 可发生于任何年龄, 常无明显症状, 多在体检时发现; 病因尚不明确, 可能与自身免疫及感染因素有关。

患者如无腹部手术史和其他病史, 可能为局部自身免疫反应所致。超声声像无特异性, 需与腹膜后特发性纤维化、淋巴瘤和淋巴结转移及恶性纤维组织瘤相鉴别。超声引导下穿刺活检不失为一良好的鉴别方法。

分享

地址:北京海淀区花园北路49号    邮编:100191

联系电话:010-82266699

Copyright © 2022 北京大学第三医院    京ICP备05082115号-2