2025年4月30日,北医三院李默教授团队与北京航空航天大学常凌乾教授团队、美国伊利诺伊大学香槟分校余存江教授团队及香港城市大学于欣格教授团队合作在Nature期刊在线发表了题为“A battery-free nanofluidic intracellular delivery patch for internal organs” (一种用于内脏器官的无电池纳米流体细胞内递送贴片)的论文,通过“医-工-化”大交叉模式实现重大疾病关键因子筛选,提出靶向治疗新策略。

论文截图
在疾病治疗领域,实现药物、基因或治疗分子的精准器官靶向递送,是生物医学工程面临的重大科学挑战。当前递送系统需要克服多重生理屏障,包括血管内皮的选择性渗透、器官特异性微环境的异质性,以及细胞膜自身的生物物理限制。
传统方法主要依赖全身血液循环递送,但受限于药物分布动力学和网状内皮系统的清除作用,往往导致递送效率低下、脱靶效应显著,以及剂量可控性差等问题。研究表明,静脉注射的纳米载体仅有不足2%能够到达目标组织,绝大部分药物分子被肝脏、脾脏等单核吞噬系统捕获或经肾脏代谢清除。此外,病毒载体虽然转染效率较高,但存在潜在的免疫原性和基因组整合风险。
对于深层器官(如胰腺、心脏或肝脏)的靶向递送,现有技术仍难以突破毛细血管内皮屏障和细胞外基质的阻碍,严重限制了治疗效果和临床应用。

NanoFLUID的设计及工作原理
团队研发的NanoFLUID贴片采用无电池、无芯片的柔性设计,其力学性能匹配柔软的内脏器官组织,可无缝贴合于肝脏、乳腺等器官表面,实现高度定制化的靶向递送。其独特的“纳米孔-微通道-微电极”结构,通过微尺度流体动力学调控与电场协同作用,能够在低电压(仅10V)条件下,安全、高效地电穿孔细胞膜,使药物或基因的胞内递送效率较传统扩散方法提升高达数万倍。
实验证实,该技术对细胞存活率的影响低于5%,同时可实现单细胞精度的递送调控。这一技术不仅突破了传统递送的物理和生物屏障,更在精准度和可控性上实现了质的飞跃,为器官靶向治疗提供了可定量、可编程的新型技术平台。

NanoFLUID筛选肿瘤转移驱动因子及其靶向治疗
研究团队在多种疾病模型中验证了NanoFLUID的突破性性能。在肝脏急性损伤修复实验中,该技术显著提升了治疗分子的递送效率,加速了组织再生;在乳腺肿瘤模型中,不仅实现了精准建模,更展现出高效低毒的治疗优势。
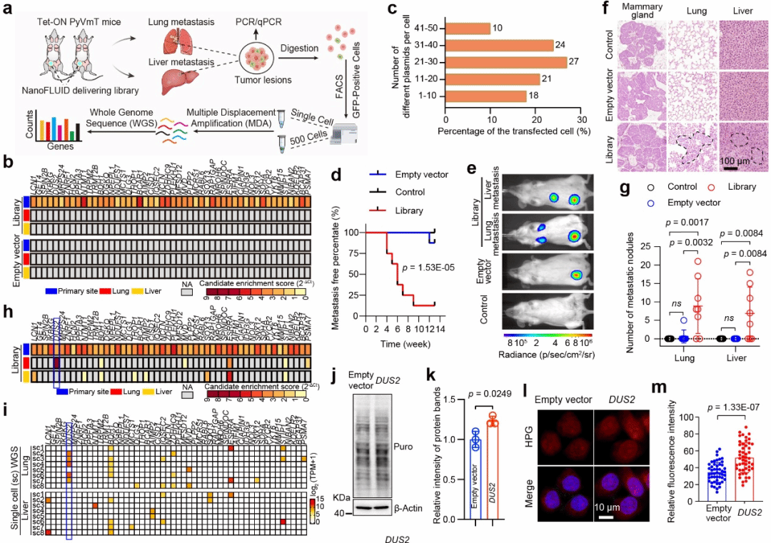
尤为重要的是,团队创新性地采用NanoFLUID介导的基因文库共转染技术,在活体水平系统筛选定义了乳腺癌转移的关键驱动因子。通过高通量测序和生物信息学分析,首次发现肺特异性转移驱动基因DUS2,该基因通过促进肿瘤细胞的蛋白质(包括70余个转移相关蛋白)翻译效率,显著促进肿瘤细胞在肺部的定植和生长。
这一发现不仅揭示了肿瘤转移的器官趋向性分子机制,更为开发针对不同转移灶的特异性治疗靶点提供了全新思路。
原文链接:https://www.nature.com/articles/s41586-025-08943-x