北京大学第三医院第148届泌尿系肿瘤规范化诊治科主任研讨班——尿路上皮癌专题顺利召开
2024年3月26日至29日,北京大学第三医院第148届泌尿系肿瘤规范化诊治科主任研讨班——尿路上皮癌专题顺利召开,本次尿路上皮癌规范化诊治科主任研讨班吸引了来自全国各地的泌尿外科主任、临床医生等共计8名专家学者参加,旨在加强国内尿路上皮癌领域的学术交流与合作,推动尿路上皮癌规范化诊治水平的提高,为广大患者提供更加优质的医疗服务。

据已发布的流行病学资料显示:在我国,随着老龄化和城镇化的深入,未来中国男女尿路上皮癌的发病人数和死亡人数都将保持上升趋势,已经成为严重威胁到人们健康和生命的重大疾病,其诊断与治疗的水平体现了一个医院泌尿外科的综合水平。北京大学第三医院泌尿外科在泌尿系肿瘤的诊疗方面有丰富的临床经验,最早由杨文质教授自上世纪八十年代开始率先开展微创手术,是国内较早开展TURBt的单位之一,目前配备有先进的微创手术设备,并积累了丰富的微创技术培训经验。为了规范我国各级医院泌尿系肿瘤的诊疗流程,推广泌尿系肿瘤治疗领域的新技术,促进我国泌尿外科事业的发展,造福更多的泌尿外科患者及家庭,从2007年至今,我们已经成功举办了147届涵盖前列腺肿瘤、肾肿瘤、膀胱肿瘤等疾病的科主任研讨班。受疫情影响,我科泌尿系肿瘤科主任研讨班已停滞 1年时间,本次会议在张树栋主任的带领下,北京大学第三医院泌尿外科成功举办了第148届泌尿系肿瘤规范化诊治科主任研讨班——尿路上皮癌专题。




开幕式上,北京大学第三医院泌尿外科张树栋主任对各位嘉宾的到来表示热烈欢迎。研讨班期间,我科多名专家联合肿瘤放疗科王皓教授,病理科贺慧颖教授和放射科何为教授,围绕尿路上皮癌的诊断、治疗、预后等方面进行了学术报告,分享了各自在临床实践中积累的宝贵经验,探讨了尿路上皮癌治疗的新技术、新方法,并对尿路上皮癌的流行病学、晚期治疗等方面进行了前沿性探讨。同时,与会人员还就尿路上皮癌的跨学科合作、最新临床研究等话题进行了广泛讨论。




研讨班期间,还举行了多场专题报告和学术讲座,内容包含《青年医师学习膀胱全切的科学方法论》《经尿道膀胱肿瘤切除术的技巧》《膀胱全切困难对策及原位膀胱技术改进》《尿路上皮癌的影像学诊断》《尿路上皮癌精准诊疗:UC HER2 检测意义与实践》《UTUC的机器人手术治疗及围手术期管理》《MIBC围手术期治疗的探索》《膀胱癌的放疗及进展》《腹腔镜膀胱全切术中复杂情况的处理》《晚期UC一线治疗的进展与探索》《NMIBC治疗现状及未来探索》《保留膀胱综合治疗进展》议题,与会人员纷纷表示受益匪浅,明确了尿路上皮癌规范化诊治的重要性。此外,第24期泌尿外科医联体例会手术复盘会暨高研班学员结业汇报及2024年4月份进修结业医师总结汇报如期举办,北医三院泌尿外科联合西藏人民医院通过两地线上、线下途径,分享了《尿道探秘:一例女性尿道囊肿合并尿道异物手术复盘》和《一例右侧无功能肾切除手术复盘》的病例分享,与会专家就疑难病例展开了热烈讨论,希望通过多种方式促进整个医联体范围内的共同进步。

在本次研讨班期间,除了泌尿外科常规手术外,我科还进行了多例疑难病例手术并同步线上转播,引起了研讨班学员的热烈讨论,现精选主要疑难病例分享如下:
病例一,70岁男性,发现前列腺结节3个月,tPSA 4.66ng/ml,fPSA 0.520 ng/ml,盆腔mri示前列腺结节,Ca?双侧腹股沟多发稍大淋巴结。前列腺穿刺活检示前列腺腺泡腺癌,4针阳性,Gleason评分4+4=8分,行机器人辅助腹腔镜前列腺癌根治术+盆腔淋巴结清扫术,术者:王国良教授。


病例二,67岁男性,5个月前尿潴留,tPSA 9.3ng/ml,穿刺12/12阳性,GS最高9分,外院骨扫描阴性,3个月前外院内分泌治疗,期间拔尿管失败两次,入院后tPSA 0.02ng/ml,行机器人辅助腹腔镜前列腺癌根治术,盆腔淋巴结清扫术,术者:张帆教授。




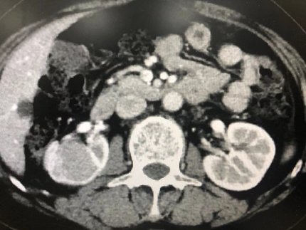
病例三,60岁女性,发现右肾占位1年。我院增强CT:右肾占位,3.1cm×2.7cm×3.0cm,内生型肿物。行机器人辅助腹腔镜右肾部分切除术,术者:张树栋教授。


病例四,76岁男性,膀胱肿瘤电切术后2个月,复查CTU提示膀胱癌复发可能,左侧壁不均匀增厚,范围约4cm,尿液TCT+特殊染色提示高级别尿路上皮癌细胞阳性,外院病理切片于本院会诊提示高级别尿路上皮癌(G3),可见广泛固有层侵犯,局灶侵犯固有肌层。行机器人辅助腹腔镜膀胱根治性切除术,盆腔淋巴结清扫术,原位膀胱术,术者:王国良教授。



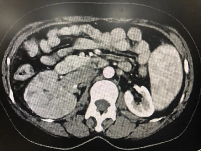
病例五,52岁女性,发现右肾肿物1月。CTU提示右肾癌7.7cm×6.8cm×11.6cm,伴MayoII级下腔静脉癌栓,长6.5cm。既往乙肝肝硬化。贫血。行机器人辅助腹腔镜右肾根治+下腔静脉瘤栓取出术,术者:张洪宪教授。术中发现肿瘤生长迅速,瘤栓较术前3天的影像学检查相比有进展,术中探查发现瘤栓已生长至下腔静脉肝后段,且质地极为糟脆,由于肝后下腔静脉不容易进行近心端阻断,遂采用不阻断近心端方法:充分游离肝后下腔静脉后,术中切开下腔静脉,采用“Milk”技术,用纱布沿下腔静脉近心端将下腔静脉瘤栓向下全部挤压出下腔静脉管腔,之后用纱布压迫下腔静脉近心端做临时阻断,同时缝合下腔静脉壁。




病例六,69岁女性,发现双肾占位10年。10年前于外院发现双肾占位,考虑错构瘤,右肾肿物4cm,定期观察。2周前复查CTU增强提示双肾多发错构瘤,大者位于右肾下极,7.3cm×3.9cm×6.7cm,左侧大者约4.3cm×4.3cm。行机器人辅助腹腔镜双肾部分切除术,术者:张树栋教授、郝一昌教授。术中右肾肿瘤位于肾脏下极,且与肾门关系紧密,仔细分离需小心输尿管损伤。



北京大学第三医院泌尿外科在尿路上皮癌诊治领域具有丰富的临床经验和较高的学术水平。此次研讨班的成功举办,不仅展示了北京大学第三医院在尿路上皮癌规范化诊治方面的成果和实力,也为与会人员提供了一个良好的学术交流平台,推动了国内尿路上皮癌诊治水平的整体提升。未来,北京大学第三医院泌尿外科将继续加强与国际国内同行的交流与合作,不断探索和创新尿路上皮癌的诊治技术与方法,为广大患者提供更加优质、高效的医疗服务。同时,也将继续举办更多高水平的学术研讨活动,为推动我国泌尿外科事业的发展贡献更大的力量。我们相信,在广大医务工作者的共同努力下,我国尿路上皮癌的诊治水平将不断提高,为更多患者带来福音。